Chapter 64
Endophthalmitis: Categories, Management and Prevention
INGRID U. SCOTT, HARRY W. FLYNN, JR. and DENNIS P. HAN
Main Menu   Table Of Contents

Search

CLASSIFICATION
INCIDENCE
DIAGNOSIS
TREATMENT MODALITIES
INTRAVITREAL ANTIBIOTICS
VITRECTOMY
THE ENDOPHTHALMITIS VITRECTOMY STUDY
TOPICAL ANTIBIOTIC THERAPY
PERIOCULAR ANTIBIOTIC THERAPY
CORTICOSTEROID THERAPY
TISSUE PLASMINOGEN ACTIVATOR
CRYSTALLINE LENS MANAGEMENT AND THE IOL DURING ENDOPHTHALMITIS TREATMENT
ENDOPHTHALMITIS CATEGORIES
ENDOPTHTHALMITIS AFTER INTRAVITREAL INJECTIONS
PREVENTION
CONCLUSION
REFERENCES

Endophthalmitis is defined by marked inflammation of intraocular fluids and tissues. When caused by microbial organisms, endophthalmitis often results in severe visual loss.1,2 In this chapter, the etiologic categories, management, and prevention issues for infectious endophthalmitis are reviewed.
Back to Top
CLASSIFICATION
Infectious endophthalmitis is classified by the events leading to the infection and by the timing of the clinical diagnosis.1,2 The broad categories include postoperative endophthalmitis (acute-onset, chronic or delayed-onset, conjunctival filtering-bleb associated), posttraumatic endophthalmitis, and endogenous endophthalmitis. Miscellaneous categories include cases associated with microbial keratitis,3 intravitreal injections,4 or suture removal.5 These categories are important in predicting the most frequent causative organisms and in guiding therapeutic decisions before microbiologic confirmation of the clinical diagnosis (Table 1).

TABLE 1. Classification of Endophthalmitis (Most Frequent Organisms In Various Clinical Settings)

  1. Postoperative.
    1. Acute-onset postoperative endophthalmitis: Coagulase-negative staphylococci, Staphylococcus aureus, streptococcus species, gram-negative bacteria.
    2. Delayed-onset (chronic) pseudophakic endophthalmitis (>6 weeks postoperative): Propionibacterium acnes, coagulase-negative staphylococci, fungi.
    3. Conjunctival filtering bleb-associated endophthalmitis: Streptococcus species, Hemophilus influenza, Staphylococcus species
  2. Posttraumatic (open globe): Bacillus species, staphylococci.
  3. Endogenous: Candida species, S. aureus, gram-negative bacteria.
  4. Miscellaneous.
    1. Keratitis: Staphylococcus and pseudomonas species
    2. Intravitreal injection (intravitreal triamcinolone, intravitreal ganciclovir, pneumatic retinopexy, etc): Coagulase negative staphylococci
    3. Suture removal: both bacteria and fungi
Back to Top
INCIDENCE
Postoperative endophthalmitis is the most frequent category, accounting for more than 70% of cases. In a nosocomial survey (1995–2001) of 35,916 intraocular surgical procedures performed at a university-based hospital, acute-onset endophthalmitis occurred in 17 cases (0.05%).6 In this survey, the incidence of acute-onset endophthalmitis (≤6 weeks of surgery) after cataract surgery was 0.04% and did not appear to be increased by a clear corneal approach to cataract surgery. Also in this survey, the rates of endophthalmitis were highest after secondary intraocular lens implantation (1 of 485 cases; 0.2%) and glaucoma surgery (4 of 1,970 cases; 0.2%), and lowest after pars plana vitrectomy (2 of 7,429 cases; 0.03%). There is an increased incidence of endophthalmitis in patients with diabetes mellitus, which is possibly explained by the relative immune compromise in these patients.7 Endophthalmitis may also occur infrequently in the setting of a conjunctival filtering bleb,8–11 suture removal,5 wound dehiscence, or vitreous wick.12 Chronic or delayed-onset endophthalmitis may be caused by less virulent bacteria (e.g., Propionibacterium acnes, Staphy1ococcus epidermidis) or by fungi.13–16

In reported large clinical series,17–20 endophthalmitis after penetrating ocular trauma represents approximately 25% of all cases. In one large study of penetrating ocular trauma, endophthalmitis occurred in 10.7% of cases with a retained intraocular foreign body and 5.2% of cases without a retained intraocular foreign body.20 The National Eye Trauma System Registry reported an endophthalmitis incidence of 6.9% (34 of 492 cases) after penetrating ocular injuries with retained intraocular foreign bodies.21 Metallic intraocular foreign bodies were as likely to be associated with infectious endophthalmitis (7.2%) as nonmetallic (7.3%) and organic matter (6.3%) foreign bodies.21 Rupture of the crystalline lens capsule is also a reported risk for endophthalmitis in open globe injuries.22

Compared to the postoperative and posttrauma categories, endogenous endophthalmitis occurs with less frequency and, when it occurs, usually presents in debilitated or immunocompromised patients or in patients with a history of intravenous drug abuse.23–27 In one large series, culture-proven fungal cases were more frequent than bacterial cases.27

In the miscellaneous category, endophthalmitis after intravitreal injections can be subdivided into infectious and noninfectious categories. In a series of over 828 intravitreal triamcinolone acetonide injections, there were no cases of infectious etiology, but pseudohypopyon from migration of triamcinolone crystals into the anterior chamber occurred in 7 patients in this report.28 Pooled data from 14,866 intravitreal injections in 4382 eyes revealed 38 cases of endophthalmitis.29 Excluding cases reported specifically as pseudoendophthalmitis (e.g., pseudohypopyon), the prevalence of endophthalmitis was 0.2% per injection.29 Noninfectious endophthalmitis cases after intravitreal triamcinolone are noted in several reports (Table 2). 30–34

TABLE 2. Noninfectious Endophthalmitis After Intravitreal Triamcinolone Acetonide Injection for Macular Disease

Study (Date, Reference #)# Identified/
# Patients
Findings
Sutter et al
(2003, 30)
4/600* (0.6%)3 out of 4 observed
1 out of 4 given vitreous tap and injection
Negative culture (vitreous)
Roth et al
(2003, 31)
7/104 (6.7%)Negative culture (vitreous)
6 out of 7 given vitreous tap and injection of intravitreal antibiotics
Nelson et al
(2003, 32)
9/440 (1.6%)2 cases with Staphy1ococcus epidermidis positive cultures treated with vitreous tap and injection
7 out of 9 observed
Jonas et al
(2003, 33)
1/454 (0.2%)Triamcinolone acetonide crystals seen in AC specimens
Negative culture (anterior chamber)
Moshfeghi et al
(2004, 28)
7/828(0.8%)No cultures obtained
No patients given intravitreal antibiotics
No infectious endophthalmitis

* Approximation

 

Back to Top
DIAGNOSIS
The diagnostic features of infectious endophthalmitis can be divided into two aspects: clinical recognition and microbiologic confirmation. The clinical signs of endophthalmitis vary depending on the preceding events or surgery, the infecting organism, the associated inflammation, and the duration of the disease. In acute-onset postoperative endophthalmitis, when bacteria are the etiologic agents, the hallmark of the clinical diagnosis is marked intraocular inflammation with hypopyon (Fig. 1).1,2 Other signs of acute-onset postoperative bacterial endophthalmitis include fibrin in the anterior chamber and on the intraocular lens, corneal edema, marked conjunctival congestion, lid edema, and vitritis. Retinal periphlebitis is another clinical sign that is diagnostically helpful in eyes with relatively clear media.35 Endophthalmitis caused by fungal organisms generally has less inflammation, a more indolent course, and less ocular pain. Endogenous candida cases often manifest as isolated white infiltrates in the formed vitreous overlying a focal area of chorioretinitis.24,35

Fig. 1. Acute-onset endophthalmitis following clear corneal cataract surgery. The patient shows conjunctival congestion, prominent fibrin in the pupil, and hypopyon.

The clinical diagnosis of endophthalmitis is confirmed by obtaining intraocular (aqueous and vitreous) specimens. A vitreous specimen is much more likely to yield a positive culture result than a simultaneously acquired aqueous specimen.36 The vitreous specimen can be obtained either by needle biopsy or by using an automated vitrectomy instrument. A needle biopsy, or limited vitrectomy approach, can be performed in a treatment room, but a three-port pars plana vitrectomy is usually performed in the operating room. One report of 138 culture-proven endophthalmitis cases showed a positive culture result in 34.8% of anterior chamber specimens, 58.2% of vitreous specimens, and 80% of vitrectomy fluid specimens.36

The technique for culturing intraocular specimens depends on the volume of the specimen and the suspected clinical diagnosis.36,37 Direct inoculation of the intraocular fluid specimen onto culture media is a traditional approach and remains a very practical technique. The specific media used for direct inoculation are listed in Table 3. This approach is especially important when limited specimens (such as a needle vitreous or aqueous aspiration) are obtained. These specimens can be inoculated directly onto the appropriate media, including anaerobic media in cases of suspected Propionibacteriurn acnes endophthalmitis. Specimens obtained with automated vitrectomy instruments are diluted by the infusion fluid but can be processed by two methods. One method for processing the vitrectomy specimen uses a membrane filter system in which the vitrectomy specimen is passed through 0.45mm filter paper that concentrates the microorganisms and particulate matter. This filter paper is then sectioned and distributed on the appropriate media.

TABLE 3. Culture Media Used for Endophthalmitis Specimens

  1. Chocolate agar: An enriched medium for the recovery of fastidious organisms (i.e., Neisseria gonorrhoeae and Hemophilus influenzae) from clinical specimens. The chocolate agar should be used as a general-purpose medium and as the medium of choice for the recovery of common endophthalmitis isolates when only a few drops of intraocular fluids are available for culture. It must be placed in a CO2 jar or bag.
  2. 5% Sheep blood agar: A general-purpose medium for the recovery of the most common bacterial and fungal endophthamitis isolates. It should be placed in the CO2 jar or bag.
  3. Thioglycollate broth: An enriched medium for the recovery of small numbers of aerobic or anaerobic (including Propionibacterium acnes) organisms from ocular fluids and tissues. The broth dilutes out the effects of antibiotics and other inhibitory susbstances. The broth should be kept a minimum of five days.
  4. Anaerobic blood agar: A general-purpose medium for the recovery of anaerobic and facultative anaerobic organisms. This medium should be included for all chronic cases of endophthalmitis and/or where P. acnes is suspected. The viridans and B-hemolytic streptococci may grow better and faster on this plate. This medium is placed in an anaerobic jar or bag.
  5. Sabouraud agar: A selective medium used to promote the growth of fungi (yeasts and molds) from clinical specimens.
  6. Blood culture bottles: Contain specially prepared medium for the recovery of both aerobic and anaerobic bacteria and fungi. Intraocular fluids may be inoculated directly into blood culture bottles. Undiluted fluids should be inoculated into pediatric bottles and diluted fluids (6–12 mL of vitrectomy specimen) injected into a set of routine (adult) bottles. Identification is made after growth is established.

 

An alternative method involves direct inoculation of the initially aspirated vitrectomy specimen into standard blood culture bottles (Fig. 2).37 This latter technique is particularly useful at night or on the weekend when the microbiology laboratory staff are not available to assist in the processing of the vitrectomy specimen. In a retrospective review of 83 cases, this blood culture bottle method for processing vitrectomy specimens yielded a 91% incidence of positive culture results.37 This rate of positive culture results from clinically diagnosed endophthalmitis cases was similar to simultaneously processed specimens using the membrane filter system.

Fig. 2. Blood culture bottles may be used for vitrectomy specimens at night or on the weekend when the microbiology staff are not available. Left: The bottle is unopened and has clear media. Right: The inoculated bottle shows growth of organisms as manifested by the opaque media.

Immunologic as well as molecular genetic technologies enable rapid and specific identification of infectious agents. These real-time techniques have been used in both clinical and experimental settings, and their future use in this area appears promising.38–40 Molecular genetic technology has made available specific DNA probes that will interact with the unique DNA sequence for a particular pathogen.40 Clinical application of PCR techniques continues to evolve for the more rapid diagnosis of infectious endophthalmitis.

DIFFERENTIAL DIAGNOSIS

The differential diagnosis of marked intraocular cellular inflammation after ocular surgery includes sterile inflammation (related to retained lens fragments or vitreous hemorrhage), iris trauma, pre-existing uveitis, and foreign material introduced during surgery.1,2 Retained cortical lens remnants are reported to cause more inflammation than nuclear remnants.41 These retained lens fragments may occasionally cause a marked inflammatory reaction with hypopyon, which may clinically resemble infectious endophthalmitis.42,43 Blood in the anterior chamber or vitreous cavity may also be confused with endophthalmitis, especially when the blood is long-standing and associated with anterior segment trauma during preceding surgery. Similarly, difficult or prolonged surgery, which often includes vitreous loss or vitreous incarceration in the cataract incision, may increase postoperative inflammation.

Toxic Anterior Segment Syndrome (TASS) is an inflammatory reaction to noninfectious agents that enter the eye during intraocular ophthalmic procedures.44–47 The typical clinical picture is the presence of diffuse corneal edema (“limbus to limbus”) and marked anterior chamber inflammation detected on the first postoperative day. Symptoms on the first postoperative day include variable pain and impaired vision. Additional hallmarks of the disease include fixed or almost fixed dilated pupil, severe elevation of intraocular pressure, and iris thinning or atrophy. The exact cause of TASS is controversial, but the most frequently implicated cause is the use of improperly cleaned or processed instruments, which allows denatured residual viscoelastic or enzyme detergents to enter the patient's eye during cataract surgery. Treatment consists of topical anti-inflammatory medications and careful follow-up to rule out the possibility of endophthalmitis. Similar to postoperative endophthalmitis, TASS is a rare problem that can have poor visual acuity outcomes because of persistent corneal edema and chronic intraocular inflammation. It is often difficult to distinguish TASS from endophthalmitis during the early postoperative course. In the Endophthalmitis Vitrectomy Study (EVS), endophthalmitis cases were diagnosed one day after cataract surgery in 5% of patients, within 2 days in 12% of patients, within 3 days in 24% of patients, and within 1 week in 61% of patients.48–58 Further, in the EVS, more virulent organisms (e.g., gram-negative bacteria, Streptococcus species, and Staphylococcus aureus) were more likely to be diagnosed within 2 days of cataract surgery. These cases may also present with marked corneal edema as well as severe intraocular inflammation with varying levels of hypopyon. In the EVS, 31% of patients had a negative intraocular culture. It is possible that some of these cases may have had TASS but were clinically diagnosed as having endophthalmitis. In the EVS, 86% of patients presented with a hypopyon, but TASS may or may not present with a hypopyon early in the course of the disease.

In eyes with mild-to-moderate postoperative inflammation without hypopyon, intensive therapy with topical corticosteroids may be used initially. The careful sequential observation of such eyes will allow appropriate diagnostic and treatment approaches to be employed. Acute-onset postoperative endophthalmitis caused by more virulent organisms, such as Streptococcus species or gram-negative bacteria, will usually present with rapidly progressive clinical signs aiding in the early diagnosis of infectious endophthalmitis. Endophthalmitis caused by the coagulase-negative staphylococci may have fewer inflammatory signs and may have a delayed presentation, often creating difficulty in distinguishing between an infectious and a noninfectious etiology.

Back to Top
TREATMENT MODALITIES
Antibiotics can be delivered to the eye by several local routes, including direct intravitreal injection, periocular injection, and topical administration (Table 4). Endophthalmitis treatment, like the management of infections elsewhere in the body, requires selection of safe and effective antimicrobial agents. The antibiotics selected should cover the broad range of gram-positive and gram-negative bacteria causing clinical endophthalmitis. In the EVS, the use of systemic antibiotics did not improve the outcomes of acute-onset postoperative endophthalmitis in eyes that concurrently received intravitreal antibiotics.48 However, the effect of recently available systemic antibiotics with improved intraocular penetration and broader spectrum, such as fourth-generation fluoroquinolones, could possibly be of benefit in endophthalmitis treatment or prevention.81

TABLE 4. Antibiotics Considered for Local Treatment of Endophthalmitis: Concentration and Dosages of Principal Agents

AgentIntraocularSubconjunctivalTopical
Amikacin0.4 mg25 mg20 mg/mL
Ampicillin0.5 mg100 mg50 mg/mL
Ceftazolin2.25 mg100 mg50 mg/mL
Ceftazidime2.25 mg100–200 mg50 mg/mL
Chloramphenicol1.0 mg50–100 mg20 mg/mL
Clindamycin1.0 mg15–50 mg50 mg/mL
Gentamicin0.1 mg20 mg15 mg/mL
Methicillin2.0 mg100 mg100 mg/mL
Tobramycin0.1 mg20 mg15 mg/mL
Vancomycin1.0 mg25 mg25 mg/mL

Compiled from PDR for Ophthalmology, 2005

 

Back to Top
INTRAVITREAL ANTIBIOTICS
Of all the available antimicrobial agents evaluated for intravitreal injection, only a few are used regularly in clinical practice. In the EVS, intravitreal vancomycin 1 mg in combination with amikacin 0.4 mg were used for the initial empiric treatment of acute-onset endophthalmitis.48–58 This combination of intravitreal antibiotics has been reported to be almost always effective for the broad range of bacterial organisms. An alternative to the aminoglycosides for coverage of gram-negative organisms is the use of intravitreal ceftazidime 2.25 mg, a third-generation cephalosporin.61–67 Outcomes of endophthalmitis treatment are demonstrated in Tables 5 and 6.14,59–60,64–71,88,105 No single antibiotic is effective against the broad spectrum of gram-positive and gram-negative bacteria and fungi.61

TABLE 5. Visual Acuity Outcomes Following Treatment of Endophthalmitis Caused by Various Gram-Positive Organisms*


Organism (Reference #)Number of Patients20/50 or Better No. (%)20/400 or Better No. (%)No Light Perception No. (%)
Coagulase-negative Staphylococcus (68)4624 (52.1)40 (87.0)1 (2.2)
Propionibacterium species (14)2212 (54.5)16 (72.7)2 (9.1)
Staphylococcus aureus (88)2713 (48.2)17 (63.0)4 (14.8)
Streptococcus pneumoniae (59)272 (7.4)8 (29.6)10 (37.0)
Enterococcus faecalis (60)292 (6.9)5 (17.2)4 (13.8)
Bacillus species (105)181 (5.6)2 (11.1)14 (77.8)

*All patients were treated at the Bascom Palmer Eye Institute

 

TABLE 6. Visual Acuity Outcomes Following Treatment of Endophthalmitis Caused by Various Gram-Negative Organisms*


Organism (Reference #)Number of EyesFinal Visual Acuity 20/50 or Better No. (%)Final Visual Acuity 20/400 or Better No. (%)NLP No. (%)
Xanthomonas maltophilia (70)43 (75%)4 (100%)0 (0%)
Serratia marcescens (69)102 (20%)4 (40%)5 (50%)
Haemophilus influenza (71)162 (13%)5 (31%)6 (38%)
Moraxella species (65,66)101 (10%)7 (70%)1 (10%)
Proteus species§161 (6%)5 (31%)8 (50%)
Klebsiella oxytoca (67)10 (0%)1 (100%)0 (0%)
Klebsiella pneumoniae (67)50 (0%)2 (40%)1 (20%)
Pseudomonas aeruginosa (64)280 (0%)1 (4%)19 (68%)

* All patients treated at Bascom Palmer Eye Institute
§ARVO Abstract 2003
NLP = No light perception

 

Repetitive injections of intravitreal antibiotics cause significant retinal toxicity in a rabbit model; eyes treated with a second or third vancomycin/aminoglycoside injection at 48-hour intervals showed progressive toxicity.72 In view of the low rate of persistent infection after initial combination therapy, repeat injection of intravitreal antibiotics are considered only in those cases with progressive inflammation caused by virulent organisms.73 Based on the initial culture report, a single intravitreal antibiotic may be selected for this repeat injection.

Back to Top
VITRECTOMY
The potential advantages of vitrectomy for infectious endophthalmitis include the ability to obtain an adequate vitreous specimen without the theoretically harmful tractional effects of needle aspiration on formed vitreous. Vitrectomy also debulks the vitreous cavity, allowing the removal of the majority of infecting organisms and other inflammatory mediators. Finally, the vitrectomized eye theoretically should allow improved drug circulation throughout the vitreous cavity.

Disadvantages of vitrectomy include the requirement for instrumentation, possibly available only in an operating room setting, which may be associated with a delay in initiating treatment. The view of the posterior segment is frequently obscured by fibrin and inflammatory debris on the surface of the intraocular lens or in the anterior chamber, making vitrectomy surgery difficult and potentially hazardous. The view of the posterior segment can be improved frequently by aspirating or peeling the inflammatory material from the anterior segment or surface of the intraocular lens (IOL).74

Another disadvantage of vitrectomy is its effect on reducing the half-life of injected intravitreal antibiotics.75 Doft and associates studied the ocular clearance of amphotericin B injected into the vitreous in a rabbit model of unmodified phakic eyes, Candida-infected phakic eyes, aphakic eyes, and aphakic vitrectomized eyes. With the use of high-pressure liquid chromatography to assess drug level, the half-lives of drug disappearance after a single amphotericin B 10-mg intravitreal injection were 9.1, 8.6, 4.7, and 4.1 days, respectively. The authors summarized that this rapid disappearance of amphotericin B from vitrectomized eyes must be considered in the clinical management of patients with fungal endophthalmitis.

Vitrectomy for endophthalmitis can be performed using either a two-port (vitreous cutter and infusion needle or irrigating light pipe) or three-port technique (sutured infusion cannula, endoilluminator probe, and vitreous cutter), depending on the surgeon's preference and the clinical circumstances. A pars plana vitrectomy (PPV) is often recommended for endophthalmitis cases with light perception visual acuity and with moderate (red reflex present and poor view of fundus detail) or severe (no red reflex visible) vitritis. In such cases, preoperative echography is generally performed to rule out retinal detachment and to document the presence or absence of a posterior vitreous detachment. When there is a posterior vitreous detachment, the vitrectomy surgeon can remove more opaque vitreous near the posterior pole and have greater confidence in avoiding contact with the retina. In EVS, the goal of the three-port PPV was to remove at least 50% of the formed vitreous.

A concentrated undiluted vitreous specimen can be obtained at the beginning of the procedure by manual aspiration into a syringe attached to the aspiration line of the vitrectomy handpiece. The intraocular specimens are evaluated using stained smears and direct cultures.

Back to Top
THE ENDOPHTHALMITIS VITRECTOMY STUDY
The EVS was a multicenter, National Eye Institute (NEI) sponsored trial that evaluated PPV and systemic antibiotics in acute postoperative endophthalmitis.48–58 The EVS also evaluated a variety of clinical and microbiologic factors relating to endophthalmitis. The study enrolled 420 patients with symptoms and signs of endophthalmitis occurring within 6 weeks of cataract extraction or secondary intraocular lens implantation. Patients were randomized to treatment with PPV or to vitreous tap/biopsy and to treatment with or without systemic antibiotics. All patients in the study received intravitreal antibiotic therapy (vancomycin 1 mg and amikacin 0.4 mg), and topical and systemic corticosteroids. Patients who appeared clinically worse 36 to 60 hours after presentation underwent reinjection of intravitreal antibiotics. Similarly, patients who were initially randomized to tap/biopsy and had worsening conditions also underwent vitrectomy. The main endpoint of the study was best-corrected visual acuity at 9 to 12 months after presentation. A secondary endpoint was media clarity.

VISUAL ACUITY RESULTS IN THE EVS

The EVS reported that, among patients who presented with visual acuity of light perception (LP) only, the visual acuity outcomes after immediate PPV were better when compared to the tap/biopsy group.37 In the light perception subgroup of patients, using vitrectomy was associated with a threefold increase in the frequency of achieving 20/40 or better acuity (33% vs. 11%), approximately a twofold chance of achieving 20/100 or better acuity (56% vs. 30%), and a 50% decrease in the frequency of worse than 5/200 acuity (20% vs. 47%). There was no difference in outcomes between immediate PPV and tap/biopsy for patients with an initial visual acuity of hand motions or better (Figs. 3 and 4). In this subgroup, patients had about the same chance of achieving 20/40 or better acuity (66% vs. 62%) and 20/100 or better acuity (86% vs. 84%) and a similar risk for severe visual loss to worse than 5/200 acuity (5% vs. 3%), whether they had immediate three-port PPV or vitreous tap/biopsy. However, there was a possible exception. Diabetic patients with initial visual acuity of hand motions or better obtained somewhat better visual acuity outcomes with vitrectomy compared to tap/biopsy. Final visual acuity of 20/40 or better was obtained in 57% of vitrectomy patients and 40% of tap biopsy patients. The difference was not statistically significant. It was suggested that either vitrectomy or tap/biopsy could be considered reasonable for diabetic patients.49

Fig. 3. Acute-onset endophthalmitis following cataract surgery. Left: Conjunctival congestion, hypopyon, fibrin in anterior chamber, and visual acuity reduced to hand motions on postoperative day 6. The patient was treated with a vitreous tap and ijected with intravitreal antibiotics. Right: The vitreous specimen showed coagulase-negative staphylococcus. Following treatment, visual acuity improved to 20/25.

Fig. 4. Acute-onset endophthalmitis following cataract surgery. Left: Marked conjunctival congestion, fibrin in the pupil and anterior chamber, hypopyon, and visual acuity reduced to light perception on postoperative day 1. The patient was treated with pars plana vitrectomy and injected with intravitreal antibiotics. Right: The vitreous culture isolated Serratia marcescens. The final visual acuity improved to 20/50 but was limited by cystoid macular edema.

At 9 to 12 months after presentation, clear media, as judged by a 20/40 view of the fundus by indirect ophthalmoscopy, was achieved slightly less frequently in the tap/biopsy eyes (83%) than in the vitrectomized eyes (90%), but this difference was not statistically significant. In no cases were vitreous opacities judged to be a principal cause of impaired vision at the final examination.53

The use of systemic antibiotics (amikacin and ceftazidime) did not improve visual outcomes or media clarity in the EVS, even when subgroup analysis that considered microbiologic susceptibilities was performed.48–58 The study concluded that systemic antibiotics provided no additional benefit to other routes of treatment.

COMPLICATIONS FROM ENDOPHTHALMITIS AND ITS MANAGEMENT

In the EVS, major adverse events included retinal detachment in 8.3% of patients, phthisis in 3% of patients, significant elevation of intraocular pressure (30 mm Hg or more) in 1% of patients, and enucleation or evisceration in 1% of patients. Compared to vitreous tap/biopsy, vitrectomy was associated with a slightly lower complication rate. Retinal detachment occurred in 7.8% of vitrectomy eyes compared to 9.0% of tap/biopsy eyes.78 Enucleation was performed in 3 tap/biopsy eyes but not in vitrectomy eyes. EVS treatment recommendations were based on visual outcome, not small differences in complication rates among treatment modalities.

Macular abnormalities were the most common cause of visual loss in the EVS. These included macular edema, pigmentary degeneration, epiretinal membrane, and ischemia. Such abnormalities were more common with worse presenting visual acuity, occurring in up to 17% of patients with hand motions or better acuity and up to 40% of patients presenting with light perception acuity. In light perception eyes that did not receive vitrectomy (the subgroup that did most poorly), excess visual loss was due to anterior segment media opacification (15%) and phthisis or enucleation (23%). These events were observed much less frequently (0.7–7%) in the remaining treatment groups.

Two adverse events during or after endophthalmitis treatment may markedly influence visual acuity outcomes. Antibiotic toxicity and retinal detachment are significant because further visual loss may occur in spite of successful treatment of the infections. Macular infarction after the use of intraocular aminoglycosides (Fig. 5) is a clinically recognized complication manifesting as a relatively well-defined area of retinal whitening, often in the macula.76,77 Reported cases of macular infarction secondary to administration of intraocular aminoglycosides have been observed after excessive intraocular doses; other cases were reported after apparent injection of a recommended safe dose. A localized increase in the drug concentration in dependent areas of the retina may play a role in aminoglycoside toxicity. If some of the perifoveal capillaries are spared, retention of some central vision is possible.

Fig. 5. Macular infarction following intravitreal amikacin 0.4 mg injection. Left: The color photograph shows whitening of the retinal tissue that involves the macula as well as scattered intraretinal hemorrhages. Right: The angiogram shows prominent capillary nonperfusion that involves the macula. The organism cultured from the vitreous was Staphylococcus epidermidis. Despite resolution of the infection, visual acuity was limited to hand motion only because of the macular infarction.

Retinal detachment may occur before, during, or after endophthalmitis treatment. The visual prognosis for eyes with retinal detachment in the setting of endophthalmitis is generally poor in reported series.78,79 The rates of postvitrectomy retinal detachment may be reduced by performing only a partial vitrectomy when the view is compromised by corneal edema.

EARLY AND LATE ADDITIONAL PROCEDURES IN THE EVS

The EVS also evaluated the frequency of additional intervention following initial treatment.53 Within one week of presentation, additional procedures were required in 8% of vitrectomized eyes versus 13% of eyes treated with tap/biopsy. Of 44 eyes (10% overall) that required repeat procedures, most (9%) underwent such procedures for worsening inflammation; the remainder (1.4%, 6 eyes) for other complications after the initial treatment procedure. As reported by the EVS, these remainder complications included glaucoma, wound leak, and retinal detachment. EVS eyes that required additional procedures soon after initial presentation had a poorer visual outcome, with only 15% of eyes achieving 20/40 or better visual acuity compared to 57% of eyes that did not require such procedures. The poorer outcome in eyes requiring secondary procedures could be attributed to the worse early course in such eyes, rather than to the secondary procedures themselves.

The incidence of late additional surgical procedures was 27% overall, and did not differ whether or not vitrectomy was performed or intravenous antibiotics administered. Overall, late additional procedures included posterior capsulotomy in 9% of patients, vitrectomy in 7%, retinopexy in 2%, scleral buckling in 1%, and glaucoma procedures in 1%. In about 2% of patients, vitrectomy for epiretinal membrane was performed. Including early additional surgical procedures, approximately one-third of EVS patients required further surgical intervention after initial treatment.

CLINICAL PRESENTATION AND VISUAL OUTCOME IN THE EVS

Clinical factors on presentation can be correlated with final visual outcome in the EVS. The single most important predictor of visual outcome was presenting visual acuity. Patients with LP visual acuity at presentation had twice the risk of decreased vision compared to those with hand motions or better. Overall, 23% of patients with LP acuity achieved 20/40 or better final acuity, compared with 64% of patients who had hand motions or better acuity.48 The data confirmed that early treatment of endophthalmitis prior to severe visual loss is critical to maximize visual outcome and that such treatment is more important in influencing outcome than any other factor, including vitrectomy. Other clinical factors that independently predicted decreased final visual acuity were older age, history of diabetes, corneal infiltrate or ring ulcer, abnormal intraocular pressure, rubeosis, an absent red reflex, and an open posterior capsule.49

MICROBIOLOGIC FACTORS IN THE EVS

The EVS evaluated the microbiologic spectrum and susceptibilities of infecting organisms. The findings provided a basis for choosing initial empiric antibiotic therapy and for evaluating subsequent changes in microbiologic spectrum in this disease. As observed in the EVS, the type of organisms and their distribution as well as visual outcomes by infecting species are shown in Table 7. Because both gram-positive and gram-negative organisms were encountered, antibiotic coverage for both types of organisms is recommended.

TABLE 7. Visual Outcome by Infecting Organism in the Endophthalmitis Vitrectomy Study*


Infecting OrganismN>20/40 (%)>20/100 (%)<5/200 (%)
Gram-positive, coagulase-negative micrococci21458814
Staphylococcus aureus30375037
Streptococcus species23133039
Enterococcus species701443
Gram-positives, (excluding gram (+) coagulase(−) micrococci)69285933
Gram-negatives18394428

*Data obtained from: The Endophthalmitis Vitrectomy Study Group: Microbiologic factors and visual outcome in the Endophthalmitis Vitrectomy Study. Am J Ophthalmol 122:837, 1996.

 

Although the infecting organism type predicted visual outcome and response to vitrectomy, the presenting visual acuity was a more powerful, independent predictor of outcome. Presenting visual acuity appeared to serve as a useful proxy for factors such as the duration of infection, host response, and degree of ongoing tissue damage that are determinants of visual prognosis and response to vitrectomy. Other important EVS observations included:

  1. A confirmed culture positivity rate of 69% overall, 82% if equivocal cultures were included.54
  2. A high frequency (approximately 70%) of coagulase-negative staphylococci in culture positive cases, with a high concordance of intraocular isolates with the patients' periocular skin flora being observed.51
  3. A 9% rate of polymicrobial infection (infection with two or more strains or species in the same eye).54
  4. A high rate of susceptibility of infecting organisms (99.4%) to either of two antimicrobial drug combinations available for intravitreal administration, vancomycin plus amikacin, or vancomycin plus ceftazidime.54
  5. A statistically significant association between secondary IOL implantation and infection with organisms other than coagulase-negative staphylococci, such as S. aureus and streptococci.54 Such organisms were associated with a much poorer visual prognosis.
  6. Virtually identical visual outcome for culture-negative cases and cases infected with coagulase-negative staphylococci, suggesting that many cases of “sterile” endophthalmitis may actually be infectious in origin.50
  7. Topical preoperative surgical preparation with povidone-iodine had been administered in 85 of 211 (40.3%) EVS study patients for whom such data were recorded.54
  8. Prophylactic antibiotics had been administered in the cataract infusion fluid at the initial cataract surgery in 10 of 87 (11.5%) patients in which the data were available.54

PITFALLS IN THE APPLICATION OF THE EVS FINDINGS

Measurements of presenting visual acuity were an important factor in the EVS and its recommendations regarding PPV. According to the EVS, patients who were unable to perceive hand motions at a distance of two feet were designated as having LP visual acuity. Such patients were shown to benefit from immediate PPV. Improperly designating such patients with actual LP acuity as having hand motions acuity would result in their inappropriate exclusion from receiving a potentially beneficial vitrectomy. In the EVS, discrimination between LP and hand motions acuity required that the illumination source be placed behind (not in front of) the patient and that the patient correctly identify four of five presentations of hand movements at a distance of two feet. A large proportion of patients in the EVS (70%) required such discrimination, having presented with either LP or hand motions acuity.48

The EVS recommendations regarding the use of vitrectomy or systemic antibiotic therapy in acute-onset postoperative endophthalmitis may not be applied directly to other forms of endophthalmitis. The predominant infecting organism in acute-onset postoperative endophthalmitis, coagulase-negative staphylococci, accounted for 70% of the culture-positive cases in the study. Other common forms of endophthalmitis are not characterized by such a predominance of this organism. Bleb-related, traumatic, or endogenous endophthalmitis are more likely to harbor organisms of greater virulence, such as the toxin-producing Streptococcus or Bacillus species. In such cases, the benefits of vitrectomy might theoretically be greater because of its presumed ability to physically remove bacteria and toxins from the eye.

With respect to systemic antibiotic therapy, only amikacin and ceftazidime were evaluated in the EVS. The study made no recommendations regarding systemic antibiotics for endophthalmitis prophylaxis, or for chronic, traumatic, bleb-related, fungal, or endogenous endophthalmitis. The EVS was conducted prior to the availability of the fourth-generation fluorquinolones81 and linezolid,82 which can be administered systemically and may have better intravitreal penetration.

Back to Top
TOPICAL ANTIBIOTIC THERAPY
Most studies concerning the efficacy of topically applied antibiotics pertain to corneal infections. The value of topical therapy for endophthalmitis is unknown, particularly when intravitreal antibiotics are administered. Nevertheless, it appears reasonable to apply such treatment if there is a wound abnormality, bleb infection, or other external infection of the eye or adnexae.

Significant intraocular levels of antibiotics can be achieved with frequent administration of highly concentrated solutions.83 In eyes with intact corneal epithelium, lipid-soluble antibiotics, such as chloramphenicol, penetrate better than the less lipid-soluble drugs, such as the aminoglycosides. This difference is reduced when the corneal epithelium is damaged. For acute-onset postoperative endophthalmitis, topical vancomycin (25 mg/ml) in combination with an aminoglycoside (9 or 14 mg/ml) or ceftazidime (50 mg/ml) administered hourly is often considered. This regimen can then be adjusted to the specific organism after culture and sensitivity results are available. The fourth-generation fluoroquinolones, available commercially for topical use, can also be considered.

Back to Top
PERIOCULAR ANTIBIOTIC THERAPY
Conflicting data regarding the intravitreal penetration after periocular antibiotic injection have been reported. Causes for the variability in these experiments include the inflammatory status of the eye and, possibly, sampling technique. The physiochemical properties of the drug may affect transscleral and transcorneal permeability. Of the currently used antibiotics, the third-generation cephalosporins (ceftazidime and ceftriaxone) achieve the highest vitreous levels. Some investigators have reported that subconjunctival antibiotics were not associated with improved outcomes when intravitreal antibiotics were used.84,85
Back to Top
CORTICOSTEROID THERAPY
Marked infiltration of the anterior chamber and vitreous cavity by polymorphonuclear neutrophils often occurs in endophthalmitis caused by bacteria. These white blood cells are implicated as mediators of tissue-destructive events by liberating oxygen metabolites such as superoxide and hydrogen peroxide as well as proteolytic enzymes (elastase, collagenase, gelatinase). Theoretically, corticosteroids should reduce this inflammation-induced ocular damage associated with endophthalmitis.

Corticosteroids can be administered to the eye by several routes (intravitreal, systemic, periocular, and topical). Clinical studies have reported mixed results regarding adverse effects when using intravitreal dexamethasone in conjunction with intraocular antibiotics. In a prospective randomized clinical trial of 63 bacterial endophthalmitis cases, intravitreal dexamethasone was shown to reduce inflammation scores early in the course of treatment but had no independent influence on the final visual outcome.86 In a series of endophthalmitis cases caused by gram-negative organisms, Irvine and associates87 reported no adverse effects using intravitreal dexamethasone, 400 μg, in conjunction with intravitreal antibiotics. In this report, visual acuity rates of 20/400 or better in eyes treated with adjunctive intraocular dexamethasone (70.0%) were compared with eyes not receiving adjunctive dexamethasone (44.2%). Similarly, Mao and associates88 reported better visual acuity outcomes (% ≥ 20/400) after adjunctive treatment with intravitreal dexamethasone, 400 μg (87.5% vs. 52.6%), for S. aureus endophthalmitis.

In addition to intravitreal corticosteroids, periocular corticosteroids are also commonly used in the treatment of endophthalmitis. The periocular dosage may include dexamethasone, 12 mg or more, administered together with periocular antibiotics.1 Topical corticosteroids are usually started on the first morning after the initial treatment of endophthalmitis. These drops may be alternated on an hourly basis with the use of topical antibiotics.

Systemic corticosteroids were used in the EVS in the treatment of all study patients with postoperative endophthalmitis. In one study, a combination of topical and systemic corticosteroids gave better results than no corticosteroids or only topical corticosteroid administration.89 Because many patients with endophthalmitis also have diabetes mellitus,7 use caution when administering higher dosages of systemic corticosteroids.

Back to Top
TISSUE PLASMINOGEN ACTIVATOR
Marked fibrin formation often accompanies endophthalmitis. This fibrin may sometimes cause pupillary block glaucoma or may form a scaffold for cellular proliferation with subsequent traction retinal detachment, cyclitic membrane formation, and/or hypotony. The use of tissue plasminogen activator (t-PA) for treating more severe postvitrectomy intraocular fibrin formation was reported for 23 eyes.82 In three of 23 eyes, endophthalmitis was the underlying cause for the fibrin production. In all three patients, intraocular t-PA 25 mg resulted in prompt fibrinolysis, although two eyes had recurrent fibrin formation. No complications were related directly to the t-PA injection. Only one of these three t-PA–treated patients achieved 20/400 visual acuity. Although t-PA may have a role in the treatment of fibrin formation complicating endophthalmitis, it is rarely used as initial therapy. It is important to note that t-PA injection itself may be associated with the development of endophthalmitis.91
Back to Top
CRYSTALLINE LENS MANAGEMENT AND THE IOL DURING ENDOPHTHALMITIS TREATMENT
An uninvolved crystalline lens can generally be left in place during endophthalmitis treatment (e.g., in endogenous endophthalmitis). Successful treatment of culture-positive cases has been reported using vitrectomy and intravitreal antibiotics while preserving the uninvolved crystalline lens.92

In most cases of acute-onset postoperative pseudophakic endophthalmitis, intraocular lens removal is not necessary.2 There is no evidence that leaving the intraocular lens in place reduces the chance of sterilizing the eye.93 Removal of the posterior chamber IOL may be hazardous in inflamed eyes and may predispose to anterior and posterior segment complications. In selected cases of fungal endophthalmitis and in cases of P. acnes not responsive to more conservative therapy, IOL removal can be considered.14–16 If recurrent infection occurs following PPV, partial capsulotomy, and intravitreal antibiotics, these cases may require removal of the entire capsular bag and the intraocular lens to achieve a cure.94

Back to Top
ENDOPHTHALMITIS CATEGORIES

ACUTE-ONSET POSTOPERATIVE ENDOPHTHALMITIS

This category of endophthalmitis occurs within 6 weeks of intraocular surgery. It can occur from a variety of intraocular surgical procedures ranging from radial keratotomy to cataract surgery. Pain is a frequent but inconsistent symptom and was absent in 25% of EVS patients. The visual loss is generally greater than that expected during the usual postoperative course. Organisms most frequently involved are the coagulase-negative staphylococci, S. aureus, Streptococcus species, and gram-negative organisms.

DELAYED-ONSET OR CHRONIC POSTOPERATIVE ENDOPHTHALMITIS

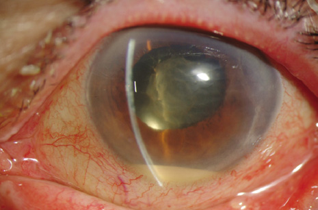
In this endophthalmitis category, patients may present weeks to months after cataract extraction, often with mild-to-moderate inflammatory signs and a chronic indolent course.16,94 P. acnes, a gram-positive, anaerobic pleomorphic rod, is a common causative organism in this category. The clinical P. acnes syndrome of delayed-onset pseudophakic endophthalmitis, first described by Meisler and associates94 in 1986, typically includes granulomatous inflammation with large keratic precipitates (Fig. 6) and a white intracapsular plaque that has been shown to be composed of organisms mixed with residual lens cortex. When infection with this slow-growing organism is suspected, anaerobic cultures of both the aqueous and vitreous should be obtained and held at least 2 weeks.

Fig. 6. Delayed-onset pseudophakic endophthalmitis. Left: This patient presented with granulomatous uveitis, vitritis, and a white plaque within the capsular bag, which is characteristic of infection caused by Propionibacterium acnes. Right: Marked granulomatous keratic precipitates are occasionally seen in endophthalmitis caused by P. acnes.

In a review of 19 patients with delayed-onset pseudophakic endophthalmitis (defined as those cases diagnosed 6 weeks or more after cataract surgery and excluding filtering bleb-associated cases), four different etiologic organisms were isolated.13 These included Propionibacterium species (63%), Candida parapsilosis (16%), Staphylococcus epidermidis (16%), and Corynebacterium species (5%).11 Endophthalmitis due to Mycobacterium chelonae may also present as delayed-onset or chronic postoperative endophthalmitis with white opacities in the lens capsule or anterior vitreous; such cases may be initially misdiagnosed as P. acnes.95

In the initial management of P. acnes pseudophakic endophthalmitis with a white intracapsular plaque, a PPV and a central capsulectomy together with intravitreal antibiotics (intravitreal corticosteroids are optional) is generally recommended.14–16 Selective removal of the observed white plaque using the vitrectomy probe assisted by scleral depression may reduce the frequency of recurrent infection (Figs. 4A and 4B). Vancomycin 1 mg has been the initial antibiotic of choice because of its broad spectrum of coverage against gram-positive organisms and because it can be injected into the remaining capsular bag after the vitrectomy.14–16 Vancomycin has been recommended over other antibiotics, but vancomycin's activity is diminished under anaerobic conditions. Isolates of P. acnes are also sensitive to methicillin, cefazolin, and clindamycin.

In clinically suspected fungal infections characterized by fluffy white vitreous infiltrates (Fig. 7), injection of intravitreal amphotericin B 5 μg should be considered. If the initial treatment approach does not eliminate the infection, total capsulectomy and intraocular lens removal or exchange can be considered in this staged approach.96,97 Voriconazole or miconazole can be considered for amphotericin B–resistant organisms.98–101

Fig. 7. Delayed-onset endophthalmitis occurring more than six weeks following cataract surgery. This patient presented with a white string of vitreous infiltrates, which is characteristic of endophthalmitis caused by Candida species. Candida parapsilosis was isolated from the same patient's vitrectomy specimen.

Other categories of delayed-onset endophthalmitis include cases associated with suture removal or severe bacterial keratitis, or exposed glaucoma drainage devices.102 Sutures for scleral fixation of intraocular lens haptics may erode through the conjunctiva and allow organisms entry into the eye.103

CONJUNCTIVAL FILTERING BLEB-ASSOCIATED ENDOPHTHALMITIS

This category of endophthalmitis is similar to acute postoperative endophthalmitis in that these patients manifest a sudden onset of pain, visual loss, conjunctival congestion, purulent bleb involvement, and the typical diagnostic features of acute-onset endophthalmitis (Fig. 8).10,11,104 Risk factors for this category of endophthalmitis include a history of conjunctivitis, contaminated topical glaucoma medications, the use of contact lenses, and inferior filtering bleb.10,104 The incidence of bleb-related endophthalmitis after a glaucoma-filtration procedure with mitomycin C may be higher than for trabeculectomy without antifibrotic agents.104 The organisms frequently involved in this type of endophthalmitis include streptococcal species8,71 and Hemophilus influenzae. Because of the frequency of these virulent organisms and the generally poor visual acuity outcomes, PPV and intraocular antibiotics are often considered as the initial approach for conjunctival filtering bleb-associated endophthalmitis.

Fig. 8. Delayed-onset endophthalmitis associated with glaucoma filtering blebs. Organisms invade the bleb initially and spread to involve intraocular fluids and tissues. This patient shows characteristic purulence of the filtering bleb, conjunctival congestion, hypopyon and fibrin in the pupil. Streptococcus pneumoniae was isolated from the vitreous specimen.

It is important to distinguish between a localized bleb infection (blebitis) and true endophthalmitis associated with an infected filtering bleb.11 The former category can be treated with intensive topical, subconjunctival, and possibly systemic antibiotics while the latter category can be treated in a manner similar to acute-onset postoperative endophthalmitis (Fig. 9).

Fig. 9. Bleb-associated endophthalmitis occurring two years following glaucoma filtering surgery. Left: Marked purulence of the bleb, hypopyon, and fibrin in the pupil. Visual acuity was reduced to hand motion. The patient was treated with a vitreous tap and injected with intravitreal antibiotics. Right: Coagulase-negative staphylococcus was isolated from the vitreous. Final visual acuity was 20/400 because advanced glaucomatous disease limited visual recovery.

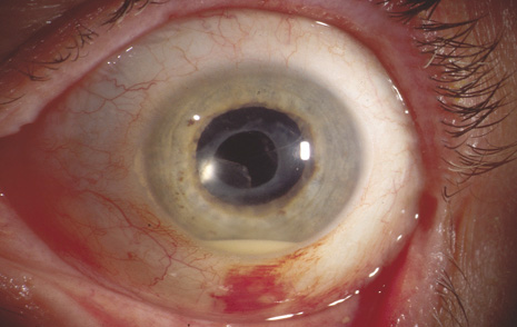
POSTTRAUMATIC ENDOPHTHALMITIS

The visual outcomes after treatment of posttraumatic endophthalmitis are generally worse than the other endophthalmitis categories. In addition to vitreous infiltrates and hypopyon, other signs of posttraumatic endophthalmitis include exudate around foreign body and retinal periphlebitis (Fig. 10). In the National Eye Trauma System21 review of endophthalmitis after penetrating injuries with retained intraocular foreign bodies, 9 of 22 (40.9%) culture positive cases achieved 20/400 or better visual acuity. Either Bacillus or staphylococci species were isolated in 21 of these 22 (95%) culture-positive cases. Endophthalmitis was much less likely to develop in eyes with primary repair within 24 hours of the injury (10/287 or 3.5%) than in eyes with primary repair more than 24 hours after the injury (22/164 or 13.4%; p < 0.0001). Major reasons for the poor visual acuity outcomes in these cases are the marked structural damage to the eye resulting from the initial injury, the delay in the primary wound repair, and the greater virulence of the organisms commonly associated with the traumatic endophthalmitis. Bacillus species, most commonly B. cereus, are cultured from 28% to 46% of eyes with posttraumatic endophthalmitis.20,21,105 Bacillus species are ubiquitous, aerobic, gram-positive, spore-forming rods. Endophthalmitis caused by Bacillus species is characterized by a rapidly progressive course, ring corneal infiltrates (Fig. 11), and, generally, a poor visual outcome even with prompt therapy (Fig. 12).105–109

Fig. 10. Posttraumatic endophthalmitis. Left: Marked purulence around an intraocular foreign body. Right: Marked periphlebitis.

Fig. 11. Endophthalmitis caused by Bacillus cereus and a retained intraocular foreign body. Note the prominent conjunctival congestion, corneal ring infiltrate, and dense hypopyon. Visual acuity was light perception. Despite prompt treatment, enucleation was eventually performed because of the blind, painful eye.

Fig. 12. Posttraumatic endophthalmitis. Left: Marked purulence surrounding an intraretinal foreign body. Bacillus cereus was isolated from the vitrectomy specimen. Right: Following successful vitrectomy, removal of the foreign body, and an injection of intravitreal antibiotics, visual acuity improved to 20/200 during follow-up.

A subgroup of trauma-related endophthalmitis is endophthalmitis associated with retained intraocular foreign bodies. Mieler and associates110 reported 27 consecutive cases of retained intraocular foreign bodies managed by prompt removal of the foreign body using PPV techniques. Positive vitreous cultures were obtained in seven of the 19 cases in which cultures were performed. Bacillus species were identified in two of these seven culture-positive cases. In spite of the positive intraocular cultures, no patient developed clinical endophthalmitis. In the National Eye Trauma System data, fewer patients with retained foreign bodies (10 of 287 patients [3.5%]) developed endophthalmitis when the primary surgical repair was within 24 hours after the injury compared with patients in whom the primary surgical repair was delayed more than 24 hours (22 of 164 patients [13.4%]).21 Signs of infectious endophthalmitis were described at the primary surgical repair in 31 of 34 patients (91.2%), but 3 of 34 patients (8.8%) developed signs of infection after the primary repair. These reports speculate that prompt surgical intervention, use of vitrectomy, and possible use of prophylactic intravitreal antibiotics in selected high-risk cases may reduce the incidence of endophthalmitis or reverse early undiagnosed endophthalmitis in the setting of a retained intraocular foreign body.

The role of prophylactic intravitreal antibiotics in penetrating ocular trauma cases is controversial.110 However, given the potential for severe visual loss in trauma-related endophthalmitis, it seems prudent to consider their use in selected cases resulting from material such as vegetable matter, foreign-body injuries incurred in an outdoor or rural environment, and penetrating ocular injury from eating utensils.105–112 The combination of vancomycin 1 mg alone or in conjunction with either an aminoglycoside (amikacin 0.4 mg) or ceftazidime 2.25 mg can be considered when prophylactic intraocular therapy seems appropriate. In addition, systemic antibiotics (such as fourth-generation fluoroquinolones) may be considered.81

ENDOGENOUS ENDOPHTHALMITIS

Endogenous endophthalmitis is caused by fungi more often than bacteria.27 The most common organism causing endogenous fungal endophthalmitis is Candida albicans; Aspergillus species is the second most common fungal cause.22,27 Endogenous endophthalmitis is more commonly diagnosed in immunocompromised and debilitated patients or intravenous drug abusers (Table 8).

TABLE 8. Conditions Possibly Predisposing to Endogenous Endophthalmitis


Long-term intravenous line placementMalignancy
Parenteral hyperalimentationDiabetes mellitus
Prolonged antibiotic therapyPregnancy
Systemic corticosteroidsMassive Trauma
Immunosuppressive therapyAlcoholism
Abdominal surgeryHepatic insufficiency
HemodialysisPostpartum
Intravenous drug abusePrematurity
AIDSGenitourinary manipulation

The typical clinical features of Candida endogenous endophthalmitis include fluffy yellow or white vitreous opacities and creamy white chorioretinal infiltrates (Fig. 13). Anterior uveitis frequently accompanies the posterior segment findings. A large macular abscess and pseudohypopyon formation (layering of inflammatory material under the internal limiting membrane of the retina) is not uncommon in cases of endogenous Aspergillus infection.25

Fig. 13. Endogenous endophthalmitis caused by Candida species. The patient, with no previous ocular surgery, presents with prominent white vitreous infiltrates typical of Candida species in a patient with systemic candidiasis.

The management of endogenous endophthalmitis depends on the clinical features (fungal vs. bacterial), the specific organism isolated, and the severity of infection.24–27 Once a diagnosis of endogenous endophthalmitis is suspected, evidence for other organ involvement must be sought. This is usually accomplished in consultation with an infectious disease specialist or internist. The presumptive clinical diagnosis is made by positive blood or urine cultures or by focal active infection of nonocular tissues.

The management approach in cases of suspected endogenous Candida endophthalmitis is generally tailored to the clinical situation. When chorioretinal infiltrates are present with no or minimal vitreous involvement, systemic therapy alone is recommended. With moderate-to-severe vitreous involvement (Fig. 14) or in cases with a worsening course in spite of systemic therapy, vitrectomy and intraocular amphotericin B are generally recommended. Although many antifungal agents are not available for intravitreal administration, voriconazole and miconazole are treatment options for amphotericin-resistant fungi (Table 9).

Fig. 14. Endogenous fungal endophthalmitis. Left: The patient presents four weeks following surgery involving the large intestine. A progressive retinal infiltrate (Candida) is seen below the optic disc; visual acuity is 20/400. The patient was treated with pars plana vitrectomy and injected with intravitreal amphotericin B 5 μg. The patient was treated systemically with fluconazole 400 mg daily. Right: The culture confirmed Candida species. Final visual acuity improved to 20/25. The uninvolved crystalline lens was not removed in this patient.

TABLE 9. Antifungal Agents


I. Polyenes
      Amphotericin B
      Nystatin Ointment
      Natamycin (Primaricin)
Action:Bind to membrane sterols and increase permeability
II. Imidazoles
      Miconazole
      Ketaconazole
Action:Inhibition of membrane-dependent enzymes
III. Triazoles
      Voriconazole
      Fluconazole
      Itraconazole
Action:Same as imidazoles, but more specific binding
IV. Pyrimidine synthesis inhibitors
      5–Fluorocytosine
Action:Inhibitor of DNA/RNA synthesis

 

The choice of systemic antifungal agents is based on several factors.27,114 For example, if there is no evidence of disseminated disease or if patients are too ill to tolerate the toxicity associated with systemic amphotericin B, other less toxic systemic oral antifungal medications can be used. This is usually administered in conjunction with an infectious disease consultant.

When Aspergillus infection is suspected, aggressive local ocular therapy including vitrectomy and intravitreal amphotericin B is usually indicated.25 Successful treatment in Aspergillus endophthalmitis cases can be accomplished, but the occurrence of a macular abscess may reduce central vision on a permanent basis (Fig. 15). Because an intraocular Aspergillus infection is frequently associated with other organ involvement, particularly cardiac valve vegetation, a comprehensive systemic evaluation is mandatory, and systemic therapy is indicated in most cases.

Fig. 15. Endogenous fungal endophthalmitis. Left: Patient with history of intravenous drug abuse presents with progressive visual loss in the right eye. Marked retinochoroidal infiltrate is identified in the posterior pole. The patient was treated with pars plana vitrectomy and injected with amphotericin B 5 μg. Right: Aspergillus species was isolated from the vitreous specimen. Final visual acuity was 20/200 because of prominent chorioretinal scarring in the macula following treatment.

Endogenous bacterial endophthalmitis is felt to be less common than fungal endophthalmitis. In a 10-year retrospective study of 28 bacterial cases at the Massachusetts Eye and Ear Infirmary,26 the fol1owing organisms were most frequently isolated: S. aureus 25%, Escherichia coli, 18%, and Streptococcus species 30%. Sources of infection were identified in 90% of cases. Endocarditis and the gastrointestinal tract were the most common sources.

In a retrospective review of 72 cases of endogenous endophthalmitis from multiple sources, one report reviewed the spectrum of causative bacteria and showed B. cereus as the most frequently reported bacterial agent.23 This high incidence of endogenous Bacillus endophthalmitis was due to its association with intravenous drug abuse. This report also showed an increasing incidence of infections by organisms of low pathogenicity in immune-compromised hosts. The authors of this series proposed a classification scheme for endogenous endophthalmitis based on the location (anterior or posterior segment) and extent (focal or diffuse) of the primary intraocular infection. Focal and anterior cases appear to have a better visual prognosis, while posterior diffuse disease nearly always leads to significant loss of vision.23

To diagnose endogenous bacterial endophthalmitis, a high index of suspicion is important. All patients with visual loss and progressive intraocular inflammation should undergo indirect ophthalmoscopy looking for evidence of septic foci in the posterior segment. In some cases, the established intraocular inflammation is the initial finding leading to the diagnosis of bacterial endocarditis and sepsis. As with endogenous fungal endophthalmitis, an internist or infectious disease specialist should be involved in both the systemic workup and medical therapy. Some patients will present with a known site of infection. In these cases, the intraocular organism is almost always the same as that cultured from the other organ site. These findings will help guide the selection of appropriate antibiotic therapy for both the systemic and ocular infection. In cases without a known site of infection other than the eye, a systemic laboratory workup that includes cultures of blood, urine, sputum, and other suspicious sites should be obtained.

Systemic antibiotics are often used to treat of endogenous endophthalmitis. In cases with focal chorioretinitis but without marked vitreous infiltrates, systemic therapy alone may achieve involution of the lesions. In eyes that fail to respond to systemic antibiotic therapy alone, intraocular therapy may be beneficial. When severe vitritis or marked vitreous infiltrates are present, a vitrectomy and intraocular antibiotic injection are usually recommended.114

Back to Top
ENDOPTHTHALMITIS AFTER INTRAVITREAL INJECTIONS
Endophthalmitis after intravitreal injection (Fig. 16) is an uncommon complication that has become the focus of attention in recent years as the use of intravitreal triamcinolone acetonide and various anti-angiogenesis medications have become available (Table 2). It is important to distinguish infectious endophthalmitis from a noninfectious pseudohypopyon caused by triamcinolone acetonide crystals (Fig. 17). Another modality, pneumatic retinopexy, is also rarely associated with the development of endophthalmitis. In the multicenter clinical trial on pneumatic retinopexy, one patient out of 103 eyes in the pneumatic retinopexy group developed endophthalmitis. A total of three endophthalmitis cases have now been reported following pneumatic retinopexy.115–117 The most common isolate is S. epidermidis and treatment approaches include standard intravitreal antibiotic injection as performed in postsurgical endophthalmitis. Strategies to reduce the risk of endophthalmitis include using a povidone-iodine ocular preparation (Fig. 18), using a lid speculum (Fig. 19), and avoiding needle contact with the lid margins and lashes (Fig. 20).

Fig. 16. Infectious endophthalmitis following intravitreal triamcinolone acetonide injection. Left: Marked conjunctival congestion, hypopyon, and prominent fibrin in the anterior chamber. Visual acuity is reduced to hand motion. Right: Higher-powered view of the anterior chamber shows marked fibrin strands in the anterior chamber.

Fig. 17. Noninfectious endophthalmitis after intravitreal triamcinolone acetonide A pseudohypopyon is created by the triamcinolone crystals in the anterior chamber. Notice the quiet conjunctiva, small, very white hypopyon, and minimal fibrin. This patient was examined on the second postinjection day as part of a routine follow-up protocol. No treatment was given and the psuedohypopyon cleared spontaneously.

Fig. 18. A povidone-iodine preparation is used to prepare the eye for an intravitreal injection.

Fig. 19. A lid speculum maintains the lid position and allows access to the pars plana region for intravitreal injection.

Fig. 20. In spite of the preparation with povidone-iodine, it is recommended that needle contact with the lid margins and lashes be avoided.

Back to Top
PREVENTION
Eyelid and ocular surface microflora have been implicated as the source of infection in most cases of postoperative endophthalmitis.40 Because bacteria can be cultured from the ocular surface of almost any person, certain risk factors may make patients more susceptible to infection by their ocular surface microflora. Risk factors for endophthalmitis include chronic bacterial blepharitis, active conjunctivitis, infections of the lacrimal drainage system, tear drainage obstruction, contaminated eye drops, contact lens wear, a prosthesis in the fellow eye, and active nonocular infections.118–121 These conditions may lead to an abnormally elevated population of ocular surface microbes or colonization of the ocular surface by atypical organisms with greater virulence than the normal microflora. Intraoperative risk factors are prolonged surgery (>60 minutes), surgery complicated by vitreous loss, and contaminated irrigating solutions or intraocular lenses.121 Postoperative entry of ocular surface microflora may be facilitated by mechanical wound problems such as wound leaks or vitreous incarceration in the surgical wound.12 Host factors that lower resistance to infection such as chronic immunosuppressive therapy and diabetes mellitus have also been reported to be significant risk factors for postoperative endophthalmitis.7

To reduce the incidence of postoperative endophthalmitis, each of the factors implicated in the pathogenesis should be addressed. First, an attempt should be made to decrease or eliminate eyelid and conjunctival microflora both preoperatively and intraoperatively. This goal may be accomplished by using preoperative topical antibiotics and topical antiseptic agents. Second, administering subconjunctival antibiotic at the time of surgery should be considered.

Studies evaluating the effectiveness of preoperative administration of antibiotics and povidone-iodine have reported a significant decrease in conjunctival bacterial colony counts.122–125 Topical antibiotics were reported to be most effective in decreasing conjunctival bacterial colony counts when administered 2 hours before surgery rather than one or more days before surgery.123 The combination of topical antibiotics and povidone-iodine was found to sterilize the conjunctiva in more than 80% of treated patients.122

Subconjunctival antibiotics are commonly administered after intraocular surgery. The rationale for subconjunctival antibiotic administration at the completion of the ocular procedure is to inhibit growth of bacteria that may gain entry into the eye during the operative procedure. Studies performed evaluating the effectiveness of prophylactic subconjunctival antibiotics in reducing the incidence of postoperative endophthalmitis reported conflicting results.119–121

Administering antibiotics in the irrigating fluid for cataract surgery has become a common technique for infection prophylaxis. This technique carries the risks of antibiotic toxicity, cost, and the possibility of emergence of resistant bacteria.126–127 One study showed a higher risk of postoperative cystoid macular edema with prophylactic instillation of vancomycin in irrigating fluid.128 At least 10 patients in the EVS developed endophthalmitis in spite of receiving antibiotics in the irrigating fluid for cataract surgery. The non–peer-reviewed literature contains reports of extremely low infection rates, but statistical support has been lacking. Thus, the risk-to-benefit ratio of this approach is not known. The American Academy of Ophthalmology (2000) has issued a Policy Statement discouraging the routine use of antibiotics in the irrigating fluid for cataract surgery.

The various strategies to prevent postoperative endophthalmitis are based on current knowledge regarding the pathogenic mechanisms of postoperative endophthalmitis. Perhaps of greatest importance, the preoperative ocular examination will help to identify the high-risk patient as previously described. In these patients, eyelid and conjunctival cultures can be performed before performing intraocular surgery. Based on the culture results and the overall clinical evaluation, preoperative topical antibiotic treatment may be considered. In patients with eye diseases requiring chronic administration of topical medications, new sterile medications should be provided to the patient before and after intraocular surgery.

On the day of cataract surgery, treating patients with prophylactic topical antibiotics that have activity against organisms commonly causing endophthalmitis can be considered. A thorough surgical prep, which includes lid margins, is performed. Instillation of 5% povidone-iodine on the conjunctiva followed by irrigation with saline is part of the surgical prep.129 The eyelids and eyelashes can be draped out of the surgical field with a plastic eye drape. A dry surgical field can be maintained when instruments are passed in and out of the eye. Attention to watertight wound closure is a priority, particularly in complicated surgical procedures or in reoperations that tend to have a higher incidence of postoperative wound leak. Vitreous incarceration in the wound should be eliminated by anterior vitrectomy techniques. At the conclusion of surgery, subconjunctival antibiotic injection using a combination of agents effective against the majority of causative gram-positive and gram-negative organisms can be considered.

Back to Top
CONCLUSION
Endophthalmitis can be associated with intraocular surgery, penetrating trauma, or endogenous sources and may cause severe visual loss. Early recognition, together with appropriate and timely treatment, may reduce visual loss associated with endophthalmitis. Identifying and treating high-risk patients before intraocular surgery and maintaining careful aseptic techniques during intraocular surgery can reduce the incidence of endophthalmitis.
Back to Top
REFERENCES

1. American Academy of Ophthalmology: Basic and Clinical Science Course: Section 12: Retina and Vitreous, 2004–5. San Francisco: American Academy of Ophthalmology, 2005:328–331.

2. Doft B. Endophthalmitis Management. Focal Points: Modules for Clinicians. San Francisco: American Academy of Ophthalmology, 1997.

3. Scott IU, Flynn HW Jr, Feuer W, et al: Endophthalmitis associated with microbial keratitis. Ophthalmology 103:1864–1870, 1996.

4. Moshfeghi DM, Kaiser PK, Scott IU, et al: Acute endophthalmitis following intravitreal triamcinolone acetonide injection. Am J Ophthalmol 13: 791–796, 2003.

5. Gelender H: Bacterial endophthalmitis following cutting of sutures after cataract surgery. Am J Ophthalmol 94:528, 1982.

6. Eifrig CWG, Flynn HW Jr, Scott IU, et al: Acute-onset postoperative endophthalmitis: review of incidence and visual outcomes. Ophthalmic Surg Lasers 33:373–378, 2002.

7. Phillips WB, Tasman WS: Postoperative endophthalmitis in association with diabetes mellitus. Ophthalmology 101:508, 1994.

8. Song A, Scott IU, Flynn HW Jr, et al: Delayed-onset bleb-associated endophthalmitis. Clinical features and visual acuity outcomes. Ophthalmology 109:985–991, 2002.

9. Mandelbaum S, Forster RK, Gelender H, et al: Late onset endophthalmitis associated with filtering blebs. Ophthalmology 92: 964, 1985.

10. Wolner B, Liebmann JM, Sassani JW, et al: Late bleb-related endophthalmitis after trabeculectomy with adjunctive 5-fluorouracil. Ophthalmology 98:1053, 1991.

11. Brown RH, Yang LH, Walker SD, et al: Treatment of bleb infection after glaucoma filtering surgery. Arch Ophthalmol 112:57, 1994.

12. Ruiz RS, Teeters VW: The vitreous wick syndrome: A late complication following cataract extraction. Am J Ophthalmol 70:483, 1970.

13. Fox GM, Joondeph BC, Flynn HW Jr, et al: Delayed onset pseudophakic endophthalmitis. Am J Ophthalmol 111:163, 1991.

14. Clark WL, Kaiser PK, Flynn HW Jr, et al: Treatment strategies and visual acuity outcomes in chronic postoperative P. acnes endophthalmitis. Ophthalmology 6:1665–1670, 1999.

15. Aldave AJ, Stein JD, Deramo VA, et al: Treatment strategies for postoperative Propionibacterium acnes endophthalmitis. Ophthalmology 106:2395–401, 1999.

16. Ciulla TA. Update on acute and chronic endophthalmitis. Ophthalmology 106:2237–2238, 1999.

17. Puliafito CA, Baker AS, Haaf J, et al: Infectious endophthalmitis: Review of 36 cases. Ophthalmology 89:921, 1982.

18. Rowsey JJ, Newsom MS, Sexton DJ, et al: Endophthalmitis: Current approaches. Ophthalmology 89:1055, 1982.

19. Bohigian GM, Olk RJ: Factors associated with a poor visual result in endophthalmitis. Am J Ophthalmol 101:332, 1986.

20. Brinton GS, Topping TM, Hyndiuk RA, et al: Posttraumatic endophthalmitis. Arch Ophthalmol 102:547, 1984.

21. Thompson JT, Parver LM, Enger C, et al: Endophthalmitis after penetrating ocular injuries with retained intraocular foreign bodies. Ophthalmology 100:1468, 1993.

22. Thompson WS, Rubsamen PE, Flynn HW Jr, et al: Endophthalmitis after penetrating trauma. Risk factors and visual acuity outcomes. Ophthalmology 102:1696–1701, 1995.

23. Greenwald MJ, Wohl LG, Sell CH: Metastatic bacterial endophthalmitis: A contemporary reappraisal. Surv Ophthalmol 31:81, 1986.

24. Brod RD, Flynn HW Jr, Clarkson JG, et al: Endogenous Candida endophthalmitis: management without intravenous amhotericin B. Ophthalmology 97:666, 1990.

25. Weishaar P, Flynn HW Jr, Murray TG, et al. Endogenous Aspergillus endophthalmitis. Clinical features and treatment outcomes. Ophthalmology 105:57–65, 1998.

26. Okada AA, Johnson RP, Liles C, et al. Endogenous bacterial endophthalmitis. Ophthalmology 101:832–838, 1994.

27. Schiedler V, Scott IU, Flynn HW Jr, et al: Culture-proven endogenous endophthalmitis: clinical features and visual acuity outcomes. Am J Ophthalmol 137:725–731, 2004.

28. Moshfeghi A, Scott IU, Flynn HW Jr, et al: Pseudohypopyon after intravitreal triamcinolone acetonide injection for cystoid macular edema. Am J Ophthalmol 138(3)489–492, 2004.

29. Jager RD, Aiello LP, Patel SC, et al: Risks of intravitreal injection: A comprehensive review. Retina 24:676–698, 2004.

30. Sutter FKP, Gillies MC. Pseudo-endophthalmitis after intravitreal injection of triamcinolone. Br J Ophthalmol 87:972–974, 2003.

31. Roth DB, Chieh J, Spirn MJ, et al: Noninfectious endophthalmitis associated with intravitreal triamcinolone injection. Arch Ophthalmol 121:1279–1282, 2003.

32. Nelson ML, Tennant MTS, Sivalingam A, et al: Infectious and presumed noninfectious endophthalmitis after intravitreal triamcinolone acetonide injection. Retina 23:686–691, 2003.

33. Jonas JB, Kreissig I, Degenring RF. Endophthalmitis after intravitreal injection of traimcionlone acetonide. Arch Ophthalmol 121:1663–1664, 2003.

34. Chen SD, Lockhead J, McDonald B, et al: Pseudohypopyon after intravitreal triamcinolone injection for the treatment of pseudophakic cystoid macular edema. Br J Ophthalmol 88(6):843–844, 2003

35. Packer AJ, Weingeist TA, Abrams GW: Retinal periphlebitis as an early sign of bacterial endophthalmitis. Am J Ophthalmol 96:66, 1983.

36. Donahue SP, Kowalski RP, Jewart BH, et al: Vitreous cultures in suspected endophthalmitis: Biopsy or vitrectomy? Ophthalmology 100:452, 1993.

37. Joondeph BC, Flynn HW Jr, Miller D, et al: A new culture method for infectious endophthalmitis. Arch Ophthalmol 107: 1334, 1989.

38. Dworkin LL, Gibler TM, Van Gelder RN: Real-time quantitative polymerase chain reaction diagnosis of infectious posterior uveitis. Arch Ophthalmol 120:1534–1539, 2002.

39. Wittwer CT, Kusukawa N: Real-time PCR. In: Persing DH (ed): Molecular Microbiology: Diagnostic Principles and Practice. Washington, D.C.: ASM Press, 2004:71–84.

40. Anand AR, Madhaven HN, Neela V, et al: Use of polymerase chain reaction in the diagnosis of fungal endophthalmitis. Ophthalmology 108:326–330, 2001.

41. Chandler PA: Problems in the diagnosis and treatment of lens-induced uveitis and glaucoma. Arch Ophthalmol 60:828, 1958.

42. Scott IU, Flynn HW Jr. Smiddy WE, et al: Clinical features and outcomes of pars plana vitrectomy in patients with retained lens fragments. Ophthalmology 110:1567–1572, 2003.

43. Irvine WD, Flynn HW Jr, Murray TG, et al: Retained lens fragments after phacoemulsification manifesting as marked intraocular inflammation with hypopyon. Am J Ophthalmol 114:610, 1992.

44. Piest TK, Kincaid MC, Tetz MR, et al: Localized endophthalmitis: a newly described cause of the so-called toxic lens syndrome. J Cataract Refract Surg 13:498–510, 1987.

45. Monsen MC, Mamalis N, Olsen RJ. Toxic anterior segment inflammation following cataract surgery. J Cataract Refract Surg 18:184–189, 1992.

46. Kritza K, Martin S, Young C, et al: Localized inflammation following cataract extraction caused by bacterial contamination of a cleaning bath detergent. J Cataract Refract Surg 18:106–110, 1992.

47. Jehan FS, Mamalis N, Spencer TS, et al. Postoperative sterile endophthalmitis (TASS) associated with the memory lens. J Cataract Refract Surg 26(12):1773–1777, 2000

48. Endophthalmitis Vitrectomy Study Group. Results of the Endophthalmitis Vitrectomy Study. A randomized trial of immediate vitrectomy and of intravenous antibiotics for the treatment of postoperative bacterial endophthalmitis. Arch Ophthalmol 13:1479–1496, 1995.

49. Doft DH, Wisnisky SR, Kellsy SF, et al: Diabetes and postoperative endophthalmitis in the Endophthalmitis Vitrectomy Study. Arch Ophthalmol 119:650–656, 2001.

50. Endophthalmitis Vitrectomy Study Group: Microbiologic factors and visual outcome in the Endophthalmitis Vitrectomy Study. Am J Ophthalmol 122:830–846, 1996.

51. Bannerman TL, Rhoden DL, McAllister M, et al: The source of coagulase-negative staphylococci in the Endophthalmitis Vitrectomy Study. A comparison of eyelid and intraocular isolates using pulsed-field gel electrophoresis. Arch Ophthalmol 115(3):357–361, 1997.

52. Braza M, Pavan PR, Doft BH, et al: Evaluation of microbiological diagnostic techniques in postoperative endophthalmitis in the Endophthalmitis Vitrectomy Study. Arch Ophthalmol 116(9):1142–1150, 1997.

53. Doft BH, Kelsey SF, Wisniewski SR, et al: Additional procedures after the initial vitrectomy or tap-biopsy in the Endophthalmitis Vitrectomy Study. Ophthalmology 105(4):707–716, 1998.

54. Han DP, Wisniewski SR, Wilson LA, et al: Spectrum and susceptibilities of microbiologic isolates in the Endophthalmitis Vitrectomy Study. Am J Ophthalmol 122(1):1–17, 1996. [Published erratum appears in Am J Ophthalmol 122(6):920, 1996.]

55. Han DP, Wisniewski SR, Kelsey SF, et al: Microbiologic yields and complication rates of vitreous needle aspiration versus mechanized vitreous biopsy in the Endophthalmitis Vitrectomy Study. Retina 19(2):98–102, 1999.

56. Johnson MW, Doft BH, Kelsey SF, et al: The Endophthalmitis Vitrectomy Study. Relationship between clinical presentation and microbiologic spectrum. Ophthalmology 104(2):261–272, 1997.

57. Wisniewski SR, Hammer ME, Grizzard WS, et al: An investigation of the hospital charges related to the treatment of endophthalmitis in the Endophthalmitis Vitrectomy Study. Ophthalmology 104(5):739–745, 1997.

58. Durand M: (Letter to Editor) Microbiologic factors and visual outcome in the Endophthalmitis Vitrectomy Study. Am J Ophthalmol 124(1):127–130, 1997.

59. Miller JJ, Scott IU, Flynn HW Jr, et al: Endophthalmitis caused by Streptococcus pneumoniae. Am J Ophthalmol 138:231–236, 2004

60. Scott IU, Loo RH, Flynn HW Jr, et al: Endophthalmitis caused by Enterococcus faecalis: antibiotic selection and treatment outcomes. Ophthalmology 110(8):1573–1577, 2003.

61. Benz MS, Scott IU, Flynn HW Jr, et al: Endophthalmitis isolates and antibiotic sensitivities: a 6-year review of culture-proven cases. Am J Ophthalmol 137:38–42, 2004.

62. Shockley RK, Fishman P, Aziz M, et al: Subconjunctival administration of ceftazidime in pigmented rabbit eyes. Arch Ophthalmol 104:266–268, 1986.

63. Campochiaro PA, Green WR: Toxicity of intravitreous ceftazidime in primate retina. Arch Ophthalmol 110:1625, 1992.

64. Eifrig CWG, Scott IU, Flynn HW Jr, et al: Endophthalmitis caused by Pseudomonas aeruginosa. Ophthalmology 110:1714–1717, 2003.

65. Berrocal AM, Scott IU, Miller D, et al: Endophthalmitis cause by Moraxella osloensis. Graefe's Arch Clin Exp Ophthalmol 240:329–330, 2002.

66. Berrocal AM, Scott IU, Miller D, et al: Endophthalmitis caused by Moraxella species. Am J Ophthalmol 132:788–790, 2001.

67. Scott IU, Matharoo N, Flynn HW Jr, et al: Endophthalmitis caused by Klebsiella species. Am J Ophthalmol 137:525–537, 2004.

68. Davis JL, Koidou-Tsiligianni A, Pflugfelder SC, et al: Coagulase-negative staphylococcal endophthalmitis. Increase in microbial resistance. Ophthalmology 95:1404–1410, 1988.

69. Cohen SM, Flynn HW Jr, Miller D: Endophthalmitis caused by Serratia marcescens. Ophthalmic Surg Lasers 28:195–200, 1997.

70. Chaudhry NA, Flynn HW Jr, Smiddy WE, et al: Xanthomonas maltophilia endophthalmitis after cataract surgery. Arch Ophthalmol 118:572–575, 2000.

71. Yoder DM, Scott IU, Flynn HW Jr, et al: Endophthalmitis caused by Haemophilus influenzae. Ophthalmology 111:2023–2026, 2004.

72. Oum BS, D'Amico DJ, Wong KW: Intravitreal antibiotic therapy with vancomycin and aminoglycoside: an experimental study of combination and repetitive injections. Arch Ophthalmol 107:1055, 1989.

73. Olson JC, Flynn HW Jr, Forster RK, et al: Results in the treatment of postoperative endophthalmitis. Ophthalmology 90:692, 1983.

74. Friberg TR: En bloc removal of inflammatory fibrocellular membranes from the iris surface in endophthalmitis. Arch Ophthalmol 109:736, 1991.

75. Doft BH, Weiskopf J, Nilsson-Ehle I, et al: Amphotericin B clearance in vitrectomized versus nonvitrectomized eyes. Ophthalmology 92:1601, 1985.

76. Campochiaro PA, Conway BP: Aminoglycoside toxicity—a surgery of retinal specialists. Arch Ophthalmol 109:1946, 1991.

77. Campochiaro PA, Lim JL, and the Aminoglycoside Toxicity Study Group: Aminoglycoside toxicity in the treatment of endophthalmitis. Arch Ophthalmol 112:48, 1994.

78. Doft BM, Kelsey SF, Wisniewski SR, and EVS study group. Retinal detachment in the Endophthalmitis Vitrectomy Study. Arch Ophthalmol 118:1661–1665, 2000.

79. Foster RE, Rubsamen PE, Joondeph BC, et al: Concurrent endophthalmitis and retinal detachment. Ophthalmology 101:490, 1994.

80. Pavan PR, Brinser JH: Exogenous bacterial endophthalmitis treated without systemic antibiotics. Am J Ophthalmol 104:121, 1987.

81. Hariprasad SM, Mieler WF, Holz ER: Vitreous penetration of orally administered gatifloxacin in humans. Trans Am Ophthalmol Soc 100:153–159, 2002.

82. Fiscella RG, Lai WW, Buerk B, et al. Aqueous and Vitreous penetration of Linezolid (Zyvox) after oral administration. Ophthalmology 111:1191–1195, 2004.

83. Barza M. Antibacterial agents in the treatment of ocular infections. Infect Dis Clin North Am 3:533, 1989.

84. Iyer MN, Han DP, Yun HJ, et al: Subconjunctival antibiotics for acute post-cataract extraction endophthalmitis—Is it necessary? Am J Ophthalmol 137:1120–1121, 2004.

85. Smiddy WE, Smiddy RJ, Ba'arah B, et al: Subconjunctival antibiotics in the treatment of endophthalmitis. Submitted.

86. Das T, Jaleli S, Grothwal V, et al: Intravitreal dexamethasone in exogenous bacterial endophthalmitis: result of a prospective randomized study. Br J Ophthalmol 83:1050–1055, 1999.

87. Irvine WD, Flynn HW Jr, Miller DA, et al: Endophthalmitis caused by gram-negative organisms. Arch Ophthalmol 110:1450–1444, 1992.

88. Mao LK, Flynn HW Jr, Miller D, et al: Endophthalmitis caused by Staphylococcus aureus. Am J Ophthalmol 116:584, 1993.

89. Koul S, Philipson BT, Philipson A: Visual outcome of endophthalmitis in Sweden. Acta Ophthalmol 67:504, 1989.

90. Jaffe GJ, Abrams GW, Williams GA, et al: Tissue plasminogen activator for postvitrectomy fibrin formation. Ophthlamology 97:184, 1990.

91. Vote BJ, Buttery R, Polkinghorne PJ: Endophthalmitis after intravitreal injection of frozen preprepared tissue plasminogen activator (tPA) for pneumatic displacement of submacular hemorrhage. Retina 24:808–809, 2004.

92. Huang S, Brod RD, Flynn HWJr: Management of endophthalmitis while preserving the uninvolved crystalline lens. Am J Ophthalmol 112:695, 1991.

93. Hopen G, Mondino BJ, Kozy D, et al: Intraocular lenses and experimental bacterial endophthalmitis. Am J Ophthalmol 94:402, 1982.

94. Meisler DM, Palestine AG, Vastine DW, et al: Chronic Propionibacterium endophthalmitis after extracapsular cataract extraction and intraocular lens implantation. Am J Ophthalmol 102:733, 1986.

95. Scott IU, Lieb DF, Flynn HW Jr: Endophthalmitis caused by Mycobacterium chelonae; selection of antibiotics and outcomes of treatment. Arch Ophthalmol 121:573–576, 2003.

96. Stern WH, Tamura E, Jacobs RA, et al.: Epidemic postsurgical Candida parasilosis endophthalmitis: clinical findings and management of 15 consecutive cases. Ophthalmology 92:170, 1985.

97. Petit TH, Olson RJ, Foos RY, et al: Fungal endophthalmitis following intraocular lens implantation. A surgical epidemic. Arch Ophthalmol 98:1025, 1980.

98. Scott IU, Cruz-Villegas V, Flynn HW Jr, et al: Delayed-onset, bleb-associated endophthalmitis caused by Lecythophora mutabilis. Am J Ophthalmol 137:583–585, 2004.

99. Hariprasad SM, Mieler WF, Holz ER, et al: Determination of vitreous, aqueous, and plasma concentration of orally administered voriconazole in humans. Arch Ophthalmol 122:42–47, 2004.

100. Scott IU, Flynn HW Jr, Miller D, et al: Exogenous endophthalmitis caused by amphotericin B-resistant Paecilomyces lilacinus: treatment options and visual outcomes. Arch Ophthalmol 119:916–919, 2001.

101. Gao H, Pennesi ME, Shah K, et al: Intravitreal voriconazole. An electroretinographic and histologic study. Arch Ophthalmol 122:1687–1692, 2004.

102. Gedde SJ, Scott IU, Tabandeh H, et al: Late endophthalmitis associated with glaucoma drainage implants. Ophthalmology 108:1323–1327, 2001.

103. Heilskov T, Joondeph BC, Olsen KR, et al: Late endophthalmitis after transscleral fixation of a posterior chamber intraocular lens. Arch Ophthalmol 107:1427, 1989.

104. Kangas TA, Greenfield D, Flynn HW Jr, et al: Delayed-onset endophthlamitis associated with conjunctival filtering blebs. Ophthalmology 104:742–752, 1997.

105. Boldt HC, Pulido JS, Blodi CF, et al: Rural endophthalmitis. Ophthalmology 96:1722, 1989.

106. Vahey JB, Flynn HW Jr: Results in the management of Bacillus endophthalmitis. Ophthalmic Surg and Laser 22:681, 1991.

107. Kervick GN, Flynn HW Jr, Alfonso E, et al: Antibiotic therapy for Bacillus species infections. Am J Ophthalmol 110:683, 1990.

108. Hemady R, Zaltas M, Paton B, et al: Bacillus-induced endophthalmitis: new series of 10 cases and review of the literature. Br J Ophthalmol 74:26, 1990.

109. Foster RE, Martinez JA, Murray TG, et al: Useful visual outcomes after treatment of Bacillus cereus endophthalmitis. Ophthalmology 103:390–397, 1996.

110. Mieler WF, Ellis MK, Williams DF, et al: Retained intraocular foreign bodies and endophthalmitis. Ophthalmology 1990:97, 1532.

111. Lieb DF, Scott IU, Flynn HW Jr, et al: Open globe injuries with positive intraocular cultures: factors influencing final visual acuity outcomes. Ophthalmology 110:1560–1566, 2003.

112. Feist RM, Lim JI, Joondeph BC, et al: Penetrating ocular injury from contaminated eating utensils. Arch Ophthalmol 109–163, 1991.

113. Reynolds DS, Flynn HW Jr: Endophthalmitis after penetrating ocular trauma. Current Opin in Ophthalmol 8:32–38, 1997.

114. Flynn HW Jr, Essman TF, Brod RD: Endogenous fungal endophthalmitis. In: Saer JB (ed.). Vitreous Retinal and Uveitis Update. Hague, Netherlands: Kugler Publishers, 1998:297–305.

115. Tornambe PE, Hilton GF, and the Retinal Detachment Study Group. Pneumatic retinopexy. A multicenter randomized control clinical trial comparing pneumatic retinopexy with scleral buckling. Ophthalmology 96:772–784, 1989.

116. Eckardt C. Staphylococcus epidermidis endophthalmitis after pneumatic retinopexy. Am J Ophthalmol 103:720–721, 1987.

117. Ho PC, McNeel JW. Bacterial endophthalmitis after retinal surgery. Retina ; 3:99, 1983.

118. Shrader SK, Band JD, Lauter CB, et al: The clinical spectrum of endophthalmitis: incidence, predisposing factors, and features influencing outcome. J Infect Dis 162:115, 1990.

119. Sherwood DR, Fich WJ, Jacob JS, et al: Bacterial contamination of intraocular and extraocular fluids during extracapsular cataract extraction. Eye 3:308, 1989.

120. Speaker MG, Milch FA, Shah MK, et al: Role of external bacterial flora in the pathogenesis of acute postoperative endophthalmitis. Ophthalmology 98:639, 1991.

121. Menikoff JA, Speaker MG, Marmor M, et al: A case-control study of risk factors for postoperative endophthalmitis. Ophthalmology 98:1761, 1991.

122. Isenberg SL, Apt L, Yoshmori R, et al: Chemical preparation of the eye in ophthalmic surgery: IV comparison of povidone-iodine on the conjunctiva with a prophylactic antibiotic. Arch Ophthalmol 103:1340, 1985.

123. Whitney CR, Anderson RP, Allansmith MR: Preoperatively administered antibiotics: their effect on bacterial counts of the eyelids. Arch Ophthalmol 87:155, 1972.

124. Apt L, Isenberg S, Yoshimori R, et al: Chemical preparation of the eye in ophthalmic surgery: III effect of povidone-iodine on the conjunctiva. Arch Ophthalmol 102:728, 1984.

125. Speaker MG, Menikoff JA: Prophylaxis of endophthalmitis with topical povidone-iodine. Ophthalmology 98:1769, 1991.

126. Alfonso EC, Flynn HW Jr. Controversies in endophthlamitis prevention. The risk for emerging resistance to vancomycin. Arch Ophthalmol 113:1369–1370, 1995.

127. Centers for Disease Control and Prevention: Preventing the spread of vancomycin-resistance. Report from the Hospital Infection Control Practices Advisory Committee. 59 Federal Register 25:757, 1994.

128. Axer-Siegel R, Stiebel-Kalish H, Rosenblatt I, et al: Cystoid macular edema after cataract surgery with intraocular vancomycin [see comment]. [Clinical Trial. Journal Article. Randomized Controlled Trial]. Ophthalmology . 106:1660–1664, 1999.

129. Ciulla TA, Starr MB, Masket S: Bacterial endophthalmitis prophylaxis for cataract surgery. An evidence-based update. Ophthalmology 109:13–26, 2002.

Back to Top