| Chapter 27 Acute Proptosis in Childhood GERALD J. HARRIS and TYSON K. SCHWIESOW Table Of Contents |
|
NARROWING THE DIFFERENTIAL DIAGNOSIS REFERENCES |
| The abrupt onset of proptosis in a child is an alarming event for the family
and the physicians involved. The clinical situation evokes the specter
of rhabdomyosarcoma and other malignant conditions in which prompt
diagnosis and early therapy can be lifesaving. Other more common causes
are not lethal but may cause vision loss. Still others are relatively
benign in every sense. The full differential diagnosis of pediatric proptosis is a broad one, although the causes are relatively distinct from those in adults (Table 1). The list of conditions that may produce sudden or rapidly progressive proptosis is considerably shorter, but a diverse group of disorders must still be considered in this clinical setting (Table 2). Some of these conditions originate in and are restricted to the orbit. They may result from disordered embryogenesis and development, or they may arise as primary neoplasms. In the pediatric population, tumors that metastasize from distant primary sites preferentially lodge within the orbit rather than within the globe, a reversal of the tendency noted in adults. Proptosis also may result from orbital involvement by systemic conditions such as leukemia and the histiocytoses. Orbital manifestations of these disorders may be the presenting clinical signs. Finally, orbital inflammatory conditions can simulate true neoplasia and may have to be considered in the differential diagnosis in individual cases.
![]()
![]()
The general management of these disorders varies widely. In most of the malignant conditions, a prompt tissue diagnosis is followed by systemic evaluation and definitive multimodal therapy by a team skilled in pediatric oncology. In these cases, the preferred surgical approach for the biopsy may vary with the suspected tumor. For a lymphangioma with recent hemorrhage, the diagnosis might be established on clinical grounds and the patient observed, or intervention might be restricted to simple evacuation of blood cysts without attempts at major resection. For a dermoid cyst, complete excision without violation of the tumor capsule is the goal. For a capillary hemangioma, the clinical diagnosis generally is followed by simple observation without surgical intervention. In inflammatory processes, the diagnosis also is based on clinical evidence, and anti-inflammatory measures are initiated. Distinctions between infectious and idiopathic inflammations are necessary in choosing the appropriate medications. Although these conditions are addressed individually elsewhere in this text, they are presented briefly and in juxtaposition here, because it is apparent that some informed distinctions must be made promptly at the time of initial presentation. Although we briefly discuss treatment, the emphasis of this chapter is on the features that might lead to a provisional diagnosis. There are marked differences in the frequency of these disorders,1 but they do not reflect the clinical importance of any individual lesion. Statistical frequencies are also of less value in the diagnosis of any individual case than are careful analysis of the history, physical findings, imaging tests, and histopathologic samples. Computed tomography (CT) remains the first-line diagnostic test in most cases of proptosis. The topographic features shown by CT should narrow the differential diagnosis. Magnetic resonance imaging (MRI) can provide additional diagnostic information by exploiting different physical properties of the lesion compared with CT. For example, lesions that are isodense with normal structures by CT may not be isointense by MRI. In selected cases, orbital echography may further reduce the diagnostic choices by providing information about the lesion's internal architecture. |
RHABDOMYOSARCOMA Rhabdomyosarcoma is the most common soft-tissue sarcoma in patients younger than 15 years of age and the most common primary orbital malignancy in childhood. These facts should not imply its frequent occurrence. Including all body sites, the annual incidence of childhood rhabdomyosarcoma in the United States is approximately 225 cases.2 The orbit is the site of origin in 5% to 25% of cases.3,4 However, site distribution varies with age. In children 5 to 9 years of age, for example, approximately 40% of primary rhabdomyosarcomas involve the orbit or eyelid.2 Although relatively rare, the tumor has a devastating natural history and demands a high index of suspicion in all cases of pediatric proptosis. Orbital rhabdomyosarcomas are slightly more common in females, with a 0.79 to 1 male-to-female ratio.2 The average age of presentation is 7.8 years, but the tumor may be present at birth and has been reported in patients as old as 78 years.5 A positive family history and associated anomalies have at times been identified, but these are exceptions rather than the rule. Classically, orbital rhabdomyosarcoma presents in an abrupt manner, with rapid progression of proptosis over days to weeks. A somewhat more indolent course does not exclude the diagnosis, however. Vigilance also should be exercised when rapidly expanding eyelid lesions are encountered. Rhabdomyosarcoma may present as ptosis or an eyelid mass rather than with proptosis.4 An eyelid rhabdomyosarcoma can occur as a congenital lesion.6 Within the orbit, rhabdomyosarcoma occurs most often, but not exclusively, in the superior nasal quadrant, with downward and outward displacement of the globe. CT scans show the topography of the orbital mass (Fig. 1A), as well as the possible extension into adjacent bone, paranasal sinuses, or the intracranial cavity. The circumscription that may be noted on CT is relative, because the lesion is not encapsulated and microscopically infiltrates normal tissue. Echography shows internal echoes of low-to-medium amplitude. Because the cellular tumor absorbs acoustic energy, the amplitude of the spikes falls off somewhat through the lesion (see Fig. 1B and C). MRI can help define the tumor's relationship to extraocular muscles (Fig. 2). The clinical diagnosis must be confirmed by biopsy. Because of the risk of seeding the biopsy tract, a transcranial approach should be avoided. If possible, the periosteum should not be violated because it presents a relative barrier to tumor invasion. Depending on its location, the lesion should be approached transconjunctivally or with an eyelid crease incision/transseptal dissection. The surgeon must balance the benefit of complete gross tumor resection with the risks of functional impairment and tumor dissemination that may accompany that effort. Tissue samples should be fixed in formaldehyde solution and glutaraldehyde for light and electron microscopic study. In addition, the value of immunohistochemical differentiation has been established for some time, and the potential uses of molecular genetic studies are rapidly emerging. Consequently, the procurement of fresh or frozen tissue, or both, has been given the highest priority by the Biopathology Discipline within the Intergroup Rhabdomyosarcoma Study Group (IRSG).2 These techniques can facilitate the diagnosis of poorly differentiated tumors, and they may refine diagnostic and prognostic classifications, identify candidate genes, and contribute to potential gene therapies. Since the inception of IRSG-I in 1972, the multicenter collaboration has enrolled the overwhelming majority of patients diagnosed with rhabdomyosarcoma in the United States and has contributed significantly to enhanced patient survival. Patients with orbital tumors had a 96% versus 83% failure-free survival in IRSG-IV compared with those in the IRSG-III.2 As of the year 2000, with the IRSG-V study underway, the overall (all primary sites) 5-year survival of children and adolescents with nonmetastatic and metastatic tumors was approaching 80%. This progress reflects advances in diagnostic imaging and multimodal treatment, including chemotherapy (e.g., agents, combinations, timing), radiation therapy (e.g., doses, fractionation, timing), and surgery (e.g., diagnostic biopsy, local staging, salvage procedures). Therapeutic protocols have evolved over the past 30 years, but they also have not been uniform at any given point in time. Rather, they have been tailored to the patient's level of risk, as determined by multiple prognostic factors (Table 3). The concept of “risk-appropriate therapy”7 recognizes, for example, that a 6-year-old child with an embryonal rhabdomyosarcoma confined to the orbit might do well with a relatively simple chemotherapy protocol, avoiding the late adverse effects of high-dose radiation. Conversely, an 18-year-old patient with an alveolar rhabdomyosarcoma arising in the retroperitoneum, with metastases at presentation, needs aggressive, complex chemotherapy and radiation, and may still do poorly. Prognostic factors considered by the multidisciplinary team include the presence of gross or microscopic residual tumor, and this determination currently is being redefined with molecular techniques that may show residual disease even without microscopic evidence2; whether tumor is confined to the anatomic site of origin or invades surrounding tissues; tumor size, with 5 cm considered a breakpoint; regional lymph node involvement; and distant metastasis. Body site plays a role, and the orbit is relatively favored. The age of the patient at diagnosis is a strong independent predictor of outcome.7 The current pathologic classification for childhood rhabdomyosarcomas by prognosis2 is as follows:
![]()
Although no single regimen is appropriate for every child with orbital rhabdomyosarcoma, a sample protocol might include multiple 3-week cycles of chemotherapy, each beginning with intravenous vincristine, actinomycin-D and cyclophosphamide, with vincristine repeated on the eighth and fifteenth days of each cycle. The regimen might include external radiation to a total dosage of 5040 cGy. For poor prognosis cases (e.g., metastatic alveolar rhabdomyosarcoma), newer agents under investigation include ifosfamide, etoposide, and topotecan.2 Having made the diagnosis and contributed to local staging at the time of presentation, the orbital surgeon continues to follow the patient along with the pediatric oncology team. In cases of treatment failure, “salvage” surgery may take the form of orbital exenteration8 or excision of residual tumor combined with brachytherapy.9 Rhabdomyosarcoma underscores the importance of clinical suspicion when dealing with acute proptosis in childhood. Prompt referral to a tertiary center after appropriate imaging is the responsibility of the primary ophthalmologist, family practitioner, or pediatrician who may first encounter the patient. OTHER PRIMARY SARCOMAS Other primary orbital sarcomas may have a relatively abrupt onset of proptosis, although their progression generally is less explosive than that of rhabdomyosarcoma. As with rhabdomyosarcoma, a prompt biopsy is critical for appropriate management. Alveolar soft part sarcoma, an example of this group of lesions, is a rare tumor that may affect the pediatric orbit. In an extensive review of the literature, Sullivan and colleagues10 identified about 50 orbital cases. They noted that the tumor tends to involve the extremities of young adults or the head and neck region of children, with a predilection for the orbit and tongue. A myogenic origin is favored, but there also is evidence for a neural derivation. The findings of imaging studies are nonspecific. Diagnosis depends on the light and elec-tron microscopic demonstration of periodic acid-Schiff-positive, diastase-resistant crystals within the cytoplasm of large polyhedral tumor cells.11 Pediatric patients appear to have a better prognosis than do adults. The currently recommended treatment is local excision of circumscribed primary lesions, with exenteration reserved for diffuse orbital involvement or local recurrence. Radiation therapy may have adjunctive value. Epithelioid sarcoma is a rare tumor that can occur in older children and young adults. Most lesions originate in the distal upper extremities. White and coworkers12 identified two patients; one was a 17-year-old girl with primary epithelioid sarcoma of the orbit. The tumors have both mesenchymal and epithelial histologic qualities and grow in tendon sheaths in a grossly nodular pattern. Treatment strategies have yet to be defined for this rare lesion. NEUROBLASTOMA Neuroblastoma is the most common metastatic orbital lesion in children.13 It represents 10% to 15% of all pediatric malignancies, ranking behind only leukemia and solid central nervous system tumors in frequency. It is a tumor of primitive neuroblastic tissue and, in some respects, is the autonomic nervous system counterpart of retinoblastoma. It usually originates in the adrenal medulla or other retroperitoneal sites but also may arise from any of the sympathetic ganglia in the mediastinum or neck. Neuroblastoma typically afflicts children from 18 months to 3 years of age, although it may be present at birth or may not appear until the midteens. In a review of more than 400 cases of neuroblastoma, Musarella and colleagues14 found the incidence of ophthalmologic signs to be 20%. In almost half of these cases, the ocular symptoms were the presenting complaints. The most common eye signs were related to orbital metastasis. Orbital involvement was bilateral in approximately half of the cases. Characteristic eye findings include proptosis and periorbital ecchymosis. The latter results from hemorrhagic necrosis within a rapidly growing tumor that has outstripped its blood supply. Other eye signs may reflect more distant tumor involvement. Horner's syndrome can result from a primary neuroblastoma in the sympathetic ganglia of the neck or mediastinum or from metastases to either of these regions.13–15 An infantile Horner's syndrome is characterized by hypochromia of the ipsilateral iris. Ocular signs may include opsoclonus, a wild conjugate oscillation of both eyes that may be associated with myoclonus, and truncal ataxia.14 It has been proposed that this complex results from an antibody directed against neuroblastoma antigen, which may cross-react with cerebellar tissue, producing damage in that area.16 Neuroblastomas manufacture catecholamines, which, in sufficient quantity, can produce flushing, systemic hypertension, and diarrhea. Diagnosis is aided by the demonstration of catecholamine metabolites in the urine.17 In cases of suspected neuroblastoma metastatic to the orbit, the primary tumor may be shown by abdominal or thoracic imaging studies. A histologic diagnosis generally is required, however. Orbital soft tissue involvement usually follows extension from bony metastasis (Fig. 3). Therefore, orbital biopsies should be performed extraperiosteally, because the periorbita may still be intact and constitute a relative barrier to tumor extension. Because the histologic differential diagnosis includes other poorly differentiated tumors of childhood, speci-mens should be fixed in both formalin and glutaraldehyde, and fresh tissue also should be submitted. Histologically, neuroblastomas display features commensurate with their degree of differentiation. At the more primitive end of the spectrum are tumors comprising small round cells with minimal cytoplasm. At the other extreme are lesions consisting of large, cytoplasm-rich elements resembling ganglion cells. It has been proposed that neuroblastomas having undergone spontaneous clinical regression have evolved into benign ganglioneuromas.18 Homer-Wright pseudorosettes characteristically present in well-differentiated primary neuroblastomas and are rarely, if ever, found within orbital metastases. In poorly differentiated tumors, electron microscopy may be required to show neurosecretory granules containing catecholamines. The rapidly advancing field of immunohistochemistry also has contributed to diagnosis and prognostic assessment in neuroblastoma.19 As with rhabdomyosarcoma, the choice of treatment protocols for neuroblastoma is based on tumor staging and the multiple prognostic factors that have been identified in large cooperative trials. Approximately 25% of children with newly diagnosed neuroblastoma present with nonmetastatic and localized disease.19 This group has a 98% survival with surgery alone as primary therapy. However, children with localized disease who have amplification of the MYCN oncogene or who are 2 years of age or older with either unfavorable histopathology or positive lymph nodes are at greater risk of death. Other negative factors include elevated serum ferritin and elevated serum neuron-specific enolase. The majority of children with neuroblastoma have metastatic disease at diagnosis.20 In order of frequency, the most common sites are bone marrow, bone, lymph nodes, liver, intracranial and orbital sites, lung, and central nervous system. The metastatic pattern differs with age. Patients younger than 1 year are more likely to have liver or skin metastases at diagnosis and less likely to have bone and bone marrow metastases at diagnosis than do patients age 1 year or older. Among children with metastases at diagnosis, event-free survival is decreased in patients with bone, bone marrow, central nervous system, intracranial/orbital, lung and pleural metastases, and improved in those with liver and skin metastases. Depending on tumor staging and risk factors, treatment protocols may include surgical resection of the primary tumor, combination chemotherapy (cisplatin, cyclophosphamide, doxorubicin, and etoposide) of varying dose-intensity, and myeloablative therapy with autologous purged bone marrow transplantation.19 OTHER METASTATIC LESIONS Orbital metastases from other solid pediatric tumors are less common. Of these, Ewing's sarcoma accounts for the majority, and Wilms' tumor is responsible for an extremely small number of cases.13,21 Ewing's sarcoma accounts for approximately 10% of tumors that metastasize to the pediatric orbit. Albert and colleagues13 noted orbital involvement in five of 12 patients with Ewing's sarcoma. In all patients, the orbital metastases were unilateral and were clinically noted several months after diagnosis of the primary lesion. Ewing's sarcoma usually arises within the medullary canals of the bones of the trunk or extremities. Unlike neuroblastoma, its peak incidence is in late childhood and adolescence. Ewing's sarcoma and malignant peripheral neuroectodermal tumor (PNET) are closely related, but are distinguished by the microscopic and immunohistochemical findings of greater neuroectodermal differentiation (e.g., rosette formation) in the latter lesion.22,23 Although earlier studies suggested a poorer prognosis in PNET than in Ewing's sarcoma, more recent work showed no difference in clinical outcome.24 Radiation therapy, surgery, and chemotherapy are used in management. The principal adverse prognostic factor is metastasis at diagnosis. In a European study of 975 patients enrolled from 1977 to 1993, the 5-year relapse-free survival of patients without metastases at diagnosis was 55% compared to 22% for patients with metastases at diagnosis.25 During the second 8 years of the study, these figures were 60% and 30%, respectively, indicating continued outcome improvement. Wilms' tumor (nephroblastoma) arises from embryonic elements within the kidney. Although it affects children almost as frequently as neuroblastoma and can metastasize extensively to other sites, orbital lesions have been rarely described.21,26 Reports have concerned children younger than 3 years of age. As of 1999, the overall survival rate for Wilms' tumor was 90%.27 Most patients have favorable histology (nonanaplastic or focally anaplastic tumors), and survive after preoperative chemotherapy and nephrectomy.27–29 However, poor outcomes are associated with diffuse anaplasia, chromosomal loss on 1p and 16q, diploidy, lung or liver metastases, major tumor spillage during resection, remote lymph node involvement, and bilateral tumors. ACUTE LEUKEMIA Leukemia is the most common malignancy in childhood, and nearly all pediatric leukemias are acute rather than chronic. The lymphoblastic variety is approximately four times more common than the myelogenous form. Leukemic cells frequently lodge in the eye and adnexa, and bilateral involvement is common.30 Proptosis occurs less often than intraocular or optic nerve complications and may result from a combination of local tumefaction and hemorrhage. Most ophthalmic complications of leukemia are associated with the acute lymphoblastic rather than the myelogenous form of disease. Orbital infiltration may occur in either condition but is disproportionately more common in acute myelogenous leukemia (AML).31 In the latter disorder, orbital tumefactions (myeloid or granulocytic sarcomas) may curiously precede bone marrow and peripheral blood evidence of leukemia by several months.32–34 For this reason, ophthalmologists may be the first to diagnose this systemic disease. The correct early diagnosis is important, because chemotherapy may be more effective if initiated before the leukemic phase develops. Extramedullary deposits of primitive myeloblasts may occur at any time in the course of acute myeloid leukemia. The growths have been termed chloromas because of a greenish hue imparted by the enzyme myeloperoxidase within the tumor cells. This discoloration fades on exposure to the air and is therefore an inconstant finding at the time of histopathologic preparation and diagnosis.35 Granulocytic or myeloid sarcoma is considered a more appropriate term and is preferred. Favored sites of involvement are the bones and periosteum of the skull, including those of the orbit. Granulocytic sarcomas also may occur in the orbital soft tissues and the eyelids. Zimmerman and Font32 studied 33 granulocytic sarcomas of the orbit and eyelids, 29 of which were examined by biopsy before a diagnosis of leukemia had been established. In most of their cases, hematologic investigation confirmed the systemic process soon after the sarcomas were identified. In some cases, however, intervals of 4 to 15 months elapsed before leukemia was diagnosed by bone marrow and peripheral blood examination. Because of these delays and because the lesions can be histologically ambiguous, granulocytic sarcomas may be misdiagnosed as independent, primary sarcomas or as histiocytic lymphomas. Granulocytic sarcomas of the orbit may be bilateral in 10% to 45% of cases.32,33 Hemorrhage occurs frequently, and eyelid ecchymosis may be a pre-senting sign. Most patients are affected in the first decade of life, and males are involved more often than females. The majority of cases in the series cited were derived from Asia, Africa, or the South Pacific, and, interestingly, granulocytic sarcoma was the second most common cause of proptosis in Uganda after Burkitt's lymphoma. Findings on imaging studies are nonspecific. The diagnosis depends on biopsy results.36 As in other pediatric tumors, light microscopy may yield ambiguous findings, and immunohistochemical stains and electron microscopy are helpful. Granulocytic sarcomas are composed of large mononuclear cells that resemble histiocytes. Diagnosis may be difficult when immature myeloblasts dominate the histologic picture, and evidence of granulocytic differentiation is minimal. Diagnosis is aided in these cases by the Leder stain, which indicates esterase activity and cellular differentiation in a myelocytic direction. In addition, the immunohistochemical stain for lysozyme is positive in 60% to 89% of cases. In patients in whom both the Leder and lysozyme stains are negative, the monoclonal antibody MAC387 may establish the diagnosis.34 Electron microscopy may show early granule formation. Compared to progress in pediatric acute lympho-blastic leukemia during the past 2 decades, improvement in the cure rate of children with AML has been modest.37 Among children treated with chemotherapy alone, about 40% are long-term survivors. Prognosis improves with bone marrow transplants from histocompatible sibling donors early in the first remission. Molecular genetic advances are expected to improve therapeutic strategies. BURKITT'S LYMPHOMA Although it is a rare cause of proptosis in the Western hemisphere, Burkitt's lymphoma deserves attention because of its distinctive epidemiologic and clinical features. The tumor occurs endemically within certain geographic and climatic boundaries in East Africa. It is the most common pediatric orbital tumor in Uganda, accounting for almost 50% of cases.38 The average age of presentation is 7 years, with a range from 3 to 15 years. Large extranodal tumors occur in the bones of the jaw and the abdominal viscera. Unilateral or bilateral proptosis is present in 20% of cases and usually results from maxillary extension. The progression of proptosis may be explosive. Burkitt's lymphoma has a doubling time that may be as brief as 24 hours, ranking it as the fastest-growing tumor in humans.39 Endemic African cases have been linked to the Epstein-Barr virus and to a t(8;14q) chromosomal translocation, suggesting an interaction between environmental factors and host susceptibility. Sporadic North American cases have a less-definitive viral association. These patients differ clinically in their age of presentation (mean, 11 years) and in the usual site of tumor origin (intra-abdominal lymphoid tissue).40,41 Involvement of the facial bones and orbit is less common in the North American cases, but invasion of the orbit from the sinuses may occur42,43 (Fig. 4).
Biopsy is necessary to establish the diagnosis. The characteristic microscopic picture is that of a “starry sky,” made up of a homogeneous background of neoplastic lymphocytes and interspersed larger histiocytes with more abundant cytoplasm. Burkitt's lymphoma was considered a small noncleaved cell lymphoma in the Working Formulation and was identified as a peripheral B-cell neoplasm in the Revised European-American Lymphoma Classification. Burkitt's lymphoma subsequently was subdivided into endemic, sporadic, immunodeficiency-associated, and atypical forms in the World Health Organization scheme.44 In children, survival rates of 80% to 90% are being achieved with intensive, short duration chemotherapeutic protocols.45 EOSINOPHILIC GRANULOMA Unifocal eosinophilic granuloma, or unifocal Langerhans' cell histiocytosis (LCH), is a relatively benign, probably reactive lesion composed of histiocyte-type cells and an inflammatory infiltrate of eosinophils and neutrophils.46 Of the disorders traditionally grouped under the histiocytosis X rubric (acute disseminated LCH or Letterer-Siwe disease; unifocal LCH; and multifocal LCH or Hand-Schuller-Christian disease), unifocal eosinophilic granuloma is the most frequent cause of orbital disease. It generally affects the superotemporal quadrant as an extension from an osteolytic lesion47,48 (Fig. 5). There is a male predominance with onset in the first or second decade. Symptoms include bone pain, tenderness, and local swelling. The differential diagnosis, based on initial CT studies, includes other primary causes of bone erosion in this region, such as dermoid cysts and lacrimal neoplasms, as well as tumors metastatic to orbital bone, such as Ewing's sarcoma. Diagnosis ultimately requires microscopic analysis of tissue. Percutaneous fine-needle aspiration, with or without core-needle biopsy, has been used for lesions of the extremities49 and can be considered for orbital lesions. However, the need for general anesthesia in children, the risk of uncontrollable hemorrhage, and the frequent extension of tumor to the dura all weigh toward open biopsy. Expression of CD1a by immunohistochemistry, which requires frozen sections or fresh cytologic preparations, is considered diagnostic of LCH.46 Electron microscopic studies show “Langerhans” or “Birbeck granules,” with a characteristic tennis-racket shape. Treatment options include surgical curettage, low-dose irradiation (400 to 800 cGy), and intralesional steroids. CT-guided steroid injection48 offers a safer alternative than blind injection, but some of the concerns about diagnostic needle aspiration still apply. Interestingly, spontaneous resolution after diagnostic biopsy has been observed.50 Our preferred approach in suspected cases includes an eyelid crease incision for access, frozen sections for immediate provisional diagnosis, and gentle curettage and instillation of methylprednisolone for treatment. Multifocal disease is excluded by an x-ray bone survey or bone scanning, chest x-ray, liver function studies, dental evaluation, urinalysis, and water-deprivation test.51 Multifocal eosinophilic granuloma (multifocal LCH or Hand-Schuller-Christian disease) occurs in children younger than 5 years of age and preferentially affects males. Multifocal osteolytic lesions may be detected at the time of presentation, or the patient may present with a single bone lesion and others may emerge within the ensuing 6 to 12 months. Hepatosplenomegaly and lymphadenopathy occur in 25% to 50% of patients.52 Nonspecific systemic symptoms include malaise, anorexia, and fever. A minority of patients show the classic triad of exophthalmos, diabetes insipidus, and bone destruction. Orbital involvement usually follows extension from adjacent bony foci.53 Histopathologically, the lesions are similar to those of the unifocal disease. Treatment also is similar, but chemotherapy in modest doses often is used to shorten the course and diminish morbidity. The prognosis generally is favorable, with recovery the rule. SICKLE CELL DISEASE Children in the midst of sickle cell crises may experience acute orbital pain, proptosis, eyelid edema, and fever.54–58 In some cases, the rapid increase in orbital pressure is extreme, causing vision loss.58 The proposed mechanism is infarction of orbital bone with adjacent subperiosteal hemorrhage or effusion (Fig. 6). Infarction may be diagnosed by radionuclide imaging, which also should differentiate the condition from the osteomyelitis that can occur in sickle cell disease. In infarction, bone and bone marrow uptake usually are decreased. In osteomyelitis, tracer accumulation generally is increased. Infarction also may be detected by MRI.58 Children with sickle cell disease are prone to other infections as well. If the periosteal elevation abuts an opacified paranasal sinus, subperiosteal abscess secondary to bacterial sinusitis should enter the differential diagnosis.59 Curran and colleagues58 reported one case of subperiosteal orbital hemorrhage in sickle cell disease and identified 16 others in a literature review. The median patient age was 12.8 years. Ten of 12 patients tested had bone marrow infarctions. Thirteen patients were treated conservatively, and four underwent surgical evacuation. Sixteen of 17 patients recovered without sequelae. One patient, treated conservatively, showed mild visual impairment. Kersten60 offered an alternative explanation for this clinical condition. He described an 11-year-old girl with hemoglobin SS and bilateral acute subperiosteal orbital hematomas. Radionuclide bone and bone marrow scans and MRI study results were negative for infarction, but the serum vitamin C level was abnormally low. Hemorrhage was attributed to vascular fragility related to subclinical scurvy (which can result from hemoglobinopathy-induced hemosiderosis), combined with vascular wall damage caused by sickle cells. In general, children with subperiosteal hematoma or effusion secondary to sickle cell disease can be treated conservatively. However, surgical evacuation should be performed in cases of compromised vision. CAPILLARY HEMANGIOMA The orbit and eyelids are common sites of capillary hemangioma (benign hemangioendothelioma, infantile hemangioma, strawberry nevus). These tumors differ from other developmental vascular anomalies in having a growth potential that is disproportionate to overall body growth. Their essential elements are endothelial cells that actively replicate, as shown by the incorporation of tritiated thymidine in experimental studies.61 Vascular malformations, including port-wine stains, lymphangiomas, primary varices, and arteriovenous malformations, have stable populations of endothelial cells, do not incorporate labeled precursors, and proliferate in proportion to total body growth. The expansion of these other lesions occurs by hemodynamic dilation of vascular channels or by intrinsic hemorrhage rather than by cellular replication.62,63 Capillary hemangioma also should be distinguishedfrom cavernous hemangioma of adulthood, which is both clinically and morphologically a separate entity.64 Capillary hemangiomas are characteristically noted within the first 2 weeks of life, with the overwhelming majority apparent by 6 weeks of age.65 They are more common in females than males by a 3:2 ratio. They may affect the eyelids, the orbit, or both. In a series of 101 cases reviewed by Haik and colleagues,65 there was a 25% incidence of additional, nonperiocular hemangiomas. The serious systemic complications of large visceral hemangiomas, such as the Kasabach-Merrit syndrome of consumption coagulopathy or shunt-induced high-output cardiac failure, are rarely seen in isolated orbital lesions.66 Growth of the lesions is most active during the first 4 months after their appearance, but continues for 8 to 12 months.65 Stabilization usually occurs by 12 to 30 months of age, followed by gradual spontaneous involution. Histologically, endothelial cell proliferation slows, fibrous tissue deposition begins, and an initially abundant population of mast cells decreases.66 In later stages of involution, cytoplasmic bridges form between mast cells and fibroblasts. Early concepts of thrombosis and infarction have been rejected. Seventy-five percent of lesions resolve totally by 7 years of age.65 In some cases, the growth rate may be remarkable, with a doubling of volume in a matter of days. Because of its potential for rapid growth, capillary hemangioma must be included in the differential diagnosis of acute proptosis in infancy. The depth of involvement determines the clinical appearance. The most superficial lesions occur in the dermis or superficial subcutaneous tissues, producing the typical cherry or strawberry appearance. These lesions represented 25% of cases in the series of Haik and coworkers.65 Because elastin fibers are disrupted over the lesion, skin changes may be irreversible, leaving a crepe-paper appearance after tumor regression. Lesions of moderate depth, which accounted for 68% of cases in the same series, appear more bluish than red. Tumor expansion with crying or other elevation of venous pressure averages approximately 50% and is rarely as dramatic as that noted with orbital varices, which communicate more patently with the systemic venous circulation. Deep orbital tumors (7% of cases) may occur without an anterior, obviously vascular component (Fig. 7A). Rapid growth in these cases raises the specter of a malignant orbital tumor, and diagnostic studies may be required for differentiation. CT (see Fig. 7B) shows a homogeneous mass that is not particularly distinct from normal orbital structures. Depending on the growth rate, there may be enlargement of the bony orbit in a smooth, symmetric pattern, a nonspecific finding produced by any lesion that has slowly expanded in the first few years of life. Capillary hemangiomas are soft, compressible lesions that grow without indenting the globe. Intravenous contrast agent enhances the tumor's radiodensity, but this feature does not distinguish the lesion from malignant tumors that may be in the differential diagnosis. The high contrast sensitivity of MRI allows better delineation of capillary hemangioma from normal structures than does CT. The tumor is hyperintense in T2-weighted images with gadolinium and fat suppression (Fig. 8). Low-intensity streaks represent flow voids within higher flow draining and feeding vessels. Standardized echography can help differentiate capillary hemangioma from rhabdomyosarcoma. The high-amplitude spikes reflected from the vessel lumen/cell cluster interfaces within the tumor (Fig. 9) are in contrast to the relatively low-amplitude spikes seen in densely cellular tumors (see Fig. 1C). Compressibility of the lesion also is a valuable echographic finding. Additional diagnostic methods include technetium-99m—labeled erythrocyte scintigraphy,67 Doppler studies,68 and arteriography,65 all of which yield more strikingly positive results in capillary hemangioma than in rhabdomyosarcoma. On rare occasions, histologic examination may be necessary for definitive diagnosis. As noted, the histology of capillary hemangioma evolves with its natural history. At initial presentation, the lesion consists of lobular proliferations of plump endothelial cells that circumscribe small vascular spaces (Fig. 10). Electron microscopy shows pericytes about the endothelial cells, but smooth muscle is lacking.69 Involuted lesions show diminished endothelial cellularity and islands of fibrofatty infiltration.61
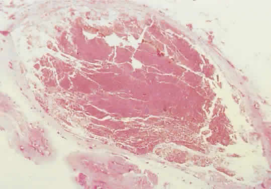
A conservative approach to therapy is favored, because the majority of lesions regress spontaneously. However, irreversible functional and cosmetic changes may occur while the tumor is present. Haik and colleagues65 noted an 80% complication rate, which included residual proptosis, ptosis, strabismus, skin abnormalities, and a 60% incidence of amblyopia. Amblyopia results more commonly from anisometropia than from stimulus deprivation.70,71 Upper eyelid lesions are more responsible for amblyopia than lower lid lesions, with the axis of the correcting plus cylinder pointing toward the lesion.66 The indications for treatment include threatened or established amblyopia and massive proptosis that may be compromising visual function by optic nerve compression or corneal exposure. There are several treatment methods available for capillary hemangioma; however, the risk/benefit ratio and suitability of each method for each patient must be considered.62 No single treatment is appropriate for all. Corticosteroids may sensitize terminal vascularbeds to circulating catecholamines, leading to constriction, sluggish flow, and coagulation.72,73 Steroids can be administered orally in the form of prednisone, 2 to 4 mg/kg/day. The major risks are adrenal suppression and growth retardation, and treatment should be directed by the infant's pediatrician. Intralesional corticosteroid injection has been used often, with generally good results.71,74 Treatment consists of triamcinolone 1 ml (40 mg/ml) and betamethasone 1 ml (6 mg/ml). Although this route is designed to avoid systemic complications, cases of adrenal suppression have been documented.75,76 Of additional concern are rare embolic complications, including ipsilateral and bilateral vision loss.77,78 When the tumor's histology (see Fig. 10) and hemodynamic continuity are considered, it would seem that any intralesional injection is, to some degree, an intravascular one, regardless of needle size. However, retrograde arterial embolization might be avoidable by limiting injection force. Corticosteroids can be administered topically to relatively superficial hemangiomas in the form of clobetasol propionate cream, 0.05%.79,80 Some systemic absorption should be anticipated. Among lasers in current use, the Candela dye laser may be the most selective for these vascular lesions. However, penetration is limited, and its utility may be restricted to superficial, bright red tumors. Interferon-α-2A (1 to 3 million units/m2/day) generally has been reserved for lesions that are life- or sight-threatening or cause severe facial distortion.81 Significant risks include bone marrow suppression, liver damage, and neurotoxicity. Deans and associates82 described surgical dissection for carefully selected cases. Tumors must be relatively circumscribed and deep enough that a surgical plane can be developed without causing necrosis of overlying tissues. To minimize the risk of hemorrhage, the entire surface of the lesion must be dissected, with pinpoint bipolar cautery of draining veins and feeding arteries. Direct incisions into the lesion are avoided. LYMPHANGIOMA A lymphangioma consists of an interanastomosing network of channels that are each defined by thin septa lined by endothelial cells (Fig. 11). The lumens contain proteinaceous material that probably represents local transudation. This fluid has the appearance, if not the physiologic function, of lymph. The designation of these lesions as lymphatic malformations also derives from the variable presence of lymphoid follicles. Conflicts of terminology regarding developmental vascular malformations of the orbit, particularly lymphangiomas and primary varices, have largely derived from strict histopathologic definitions. As a step toward uniform nomenclature, a classification based on hemodynamic relationships has been recommended.63,83,84 The septa of a lymphangioma do contain small nutrient arteries and veins, but there is little communication between the systemic circulation and the actual channels of the tumor. Neither arteriography nor venography causes filling of these spaces, and increases in orbital venous pressure, as with crying, do not cause the twofold to threefold increases in size observed with orbital varices. The fragility of the septa, with their intrinsic vascular supply, may explain the characteristic hemorrhages that occur in lymphangiomas. Bleeding into a lumen may produce a single hemorrhagic cyst or a mass that is multilobulated because of the intercommunication of vascular channels (Fig. 12). The sparse stroma allows dramatic expansion of blood cysts. Unlike capillary hemangiomas, lymphangiomas have a stable population of endothelial cells.61 Proliferation does not exceed the rate of overall body growth, and enlargement of the basic lesion ceases after adolescence. Regression does not occur. However, proptosis may be intermittent and variable because of recurrent intrinsic hemorrhage and blood resorption. Variations in proptosis may parallel upper respiratory tract infections and are attributed to lymphoid hyperplasia in response to immune challenge.85 A history of such variation often cannot be elicited, however. Although all orbital lymphangiomas are probably congenital, they often do not become clinically manifest until the first hemorrhagic episode (Fig. 13). Most orbital cases are apparent within the first decade of life, with an average age of presentation of 6 years.86
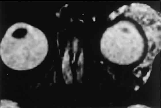
Acute blood cyst formation in this age group makes the distinction between a pre-existent but clinically silent lymphangioma and a rapidly emerging rhabdomyosarcoma a common orbital diagnostic problem. Evidence suggesting an orbitallymphangioma includes the variable finding of conjunctival or eyelid components of the malformation.86 Conjunctival lesions appear as ectatic channels filled with clear or hemorrhagic fluid. Eyelid ecchymosis may result from the seepage of blood out of the thin-walled orbital cysts. Additional developmental anomalies of the eye and adnexa may be present. Other head and neck involvement may be manifest as local hypertrophy (e.g., of the cheek or lips), and cystic palatal lesions may be seen. CT discloses a single or multilobulated mass, which represents only the blood cyst portion of the tumor (Fig. 14). Individual lobules may have different radiodensities depending on the presence of clots or liquefied blood within each cyst (Fig. 15). A generalized increase in orbital dimensions suggests a long-standing, probably congenital process. Echography may help differentiate the cystic components of lymphangioma from cellular rhabdomyosarcoma. Echography shows the blood cysts to be acoustically inactive spaces, with extremely low internal reflectivity (Fig. 16). Clots within the cysts can increase internal heterogeneity, however. MRI has virtually eliminated the need for diagnostic biopsy in this condition, because of its ability to show differing magnetic properties of suspended, degrading blood products (Fig. 17).
The intimate association of orbital lymphangiomas with structures critical to normal vision makes their complete excision almost impossible without incurring vision loss. Because their vascular components do not actively proliferate, the response to radiation therapy is limited and probably is proportionate to whatever lymphoid tissue is present. The presence of a blood cyst is not in itself an indication for treatment if vision is not impaired. In many cases, the blood resorbs during several weeks without residual problems. Frequently, however, vision is compromised by the sudden expansion of multilobulated cysts that surround the optic nerve, and simple observation may result in permanent deficits. Treatment requires evacuation of the offending cysts in a conservative manner consistent with preservation of vision.84 Because the channels of a lymphangioma are hemodynamically isolated from the systemic circulation (“no flow anomalies”),63 their surgical decompression does not produce brisk new bleeding from within them. Rather, the hemorrhagic risk of surgery involves intraoperative and, more often, postoperative, intrinsic bleeding, creating new blood-filled macrocysts.62 Conservative surgery restricts intraorbital manipulation, involves evacuation of offending blood cysts, and avoids disturbance of nonexpanded portions of the lymphangioma. Extensive dissection for cosmetic purposes should be undertaken with the same respect for the fragility of nonexpanded channels. TRAUMATIC ORBITAL HEMATOMA Although the diagnosis of a traumatic orbital hematoma would seem obvious on the basis of history alone, some element of trauma within a few days of the onset of proptosis is such a common historical finding among small children that it may have little differential value. Conversely, a history of culpable trauma may not always be forthcoming, as in cases of child abuse. In penetrating orbital injuries, the entry wounds suggest the diagnosis. Retained foreign bodies should be ruled out. In blunt injuries, other diagnostic clues are helpful. Ecchymosis may be present but also may be a feature of granulocytic sarcoma, neuroblastoma, or lymphangioma with recent bleeding. CT may show an associated fracture. Most orbital hematomas that result from blunt injury occur in the potential subperiosteal space (Fig. 18). The lack of adjacent sinus opacification and the absence of systemic toxicity differentiate this entity from a subperiosteal abscess, which can have a similar appearance.59 Echography shows the low acoustic reflectivity characteristic of fluid-filled spaces. If a traumatic orbital hematoma has compromised vision by acutely elevating orbital pressure, the pressure should be reduced promptly with a lateral canthotomy and cantholysis. If, conversely, vision is compromised because of extreme globe displacement and optic nerve attenuation, the hematoma should be evacuated.87 This is a relatively simple procedure if the blood is compartmentalized in the subperiosteal space. We favor a lid crease incision, with dissection between orbicularis muscle and orbital septum to the orbital rim. The subperiosteal space is then entered, and the hematoma is evacuated. If vision is not compromised, patients can be treated conservatively. Spontaneous absorption generally follows, but hematomas occasionally enlarge with osmotic imbibition. DERMOID CYST Dermoid and epidermoid cysts often occur in the orbit and paraorbital region. Epidermoid cysts are lined by stratified squamous epithelium and are filled with desquamated keratin. The walls of dermoid cysts include dermal appendages that contribute sebum, sweat, and hair shafts to the cyst contents. Both forms probably result from abnormal invagination of surface ectoderm during fetal development. Differences may relate to the depth of tissue that has been sequestered or to the degree of ectodermal differentiation at the time of inclusion.88 Most dermoid cysts are closely related to bone suture lines, suggesting that the surface ectoderm has been trapped between fusing mesodermal processes. Dermoid cysts are most often encountered at the frontozygomatic articulation but can occur at other suture lines, including those deep in the orbit. Most lesions are anterior and paraorbital (Fig. 19), located between the orbicularis muscle and the periosteum overlying the orbital rim, and have a fibrous stalk to the suture line. Anterior cysts produce minimal bone change. Other lesions may be entirely intraorbital, causing proptosis and globe displacement. Their expansion produces an overall increase in orbital volume as well as local bone changes (Fig. 20). Dermoid and epidermoid cysts also may be largely intradiploic, with expansion into the anterior cranial fossa, the temporal fossa, or the orbit. Dumbbell lesions may be present with narrow intraosseous components. Anterior, paraorbital dermoid cysts usually are evident soon after birth. Deeper lesions may not declare themselves until mid- or late childhood, or even the adult years. Expansion of the cysts generally is slow and linear, reflecting continuous desquamation of keratinizing epithelium. There may be a point at which the pressure within the cyst inhibits further proliferation and sloughing of epithelial cells, accounting for the clinically observed stability of many lesions. Sporadic enlargement may be caused by hormonally influenced sebaceous gland secretion or by rupture of the cyst wall with a granulomatous inflammatory response to the cyst contents (see Figs. 19B-D). Such episodic change in an otherwise gradual growth pattern places intraorbital dermoid cysts into the current differential diagnosis. Anterior lesions generally are diagnosed and removed without difficulty, although their occasional occurrence near the lacrimal excretory system can complicate treatment.89 Surgeons should strive for excision of an intact cyst, because residual epithelial elements can lead to recurrence. CT examination of deeper lesions discloses a cystic mass with some internal heterogeneity caused by the different radiodensities of keratin clumps and oily secretions (see Fig. 20B). Bone changes, from shallow fossas to spherical defects, are smooth, with a sclerotic margin and a punched-out appearance. Based on the CT findings, the differential diagnosis includes cholesterol granuloma and unifocal eosinophilic granuloma. Superomedial orbital dermoid cysts must be distinguished from meningoencephaloceles before surgical intervention. Most intraorbital cysts can be removed through a lateral or anterior orbitotomy. The walls of deep lesions may be intimately attached to adjacent bone and may not peel off intact. Gentle use of a high-speed steel burr can facilitate complete removal of the cyst lining. ANEURYSMAL BONE CYST Aneurysmal bone cyst is an uncommon, benign tumor-like lesion of unknown origin.90 Most lesions present in the second decade with pain and swelling. Any bone may be involved, but the long bones and vertebrae are most often affected. Aneurysmal bone cyst of the orbital roof is an unusual cause of rapidly progressive proptosis.91 In one case, a 16-month-old boy was affected.92 The lesions both erode and expand cancellous and cortical bone.90 They are surrounded by a shell of periosteal new bone that prevents their extension into soft tissue. MRI may show fluid-fluid levels indicative of hemorrhage.92 In some cases, aneurysmal bone cyst appears to be a pathophysiologic change superimposed on a pre-existing lesion, such as a giant-cell tumor.90 In most cases, however, the bone cyst is considered a distinct pathologic and radiologic entity. Treatment of facial lesions with intralesional resection or curettage has a substantial rate of recurrence. Recurrence can be reduced with marginal resection or cryotherapy. INFLAMMATORY PSEUDOTUMOR Idiopathic inflammatory pseudotumor (IIPT) is a general term applied to those orbital inflammations without an identified inciting agent and with a sparsely cellular, mixed inflammatory infiltrate that does not suggest a systemic disease. Despite efforts to replace the pseudotumor designation, the term remains entrenched in the literature.93 However, the spectrum of clinical and pathologic conditions included under the rubric has been narrowed and refined since the term was first applied a century ago. IIPT can occur in the first 2 decades of life as well as in adulthood, and it may affect children as young as 3 years of age.94 There appears to be no sex predilection. The condition can be subdivided topographically into myositis, dacryoadenitis, episcleritis/tenonitis/perineuritis, and a localized mass. However, combined forms are common, and even when the process is centered in one structure, inflammatory changes appear microscopically and in imaging studies to spill into adjacent tissues. Among these variants, orbital myositis and dacryoadenitis are the most common forms of IIPT encountered in children. Local tumefactions may occur anywhere in the orbit. When they involve the crowded orbital apex or superior orbital fissure, they can produce the Tolosa-Hunt syndrome of painful ophthalmoplegia. The typical patient with IIPT has an abrupt onset of pain, proptosis, eyelid edema, chemosis, and conjunctival vascular engorgement.94 The left orbit is affected twice as often as the right, but bilateral orbital involvement, either simultaneous or separated by variable intervals, occurs in almost half of the pediatric cases. Among children with IIPT, there is a higher incidence of iritis than among adults with this disorder. Optic nerve head edema is noted in one-third of cases. Systemic complaints are variable but may include fever, malaise, anorexia, and nausea. Orbital symptoms may follow an upper respiratory tract infection. In pediatric cases, laboratory abnormalities may include peripheral blood eosinophilia and elevations of the erythrocyte sedimentation rate, complement level, and antinuclear antibody titer.95 The absence of a marked leukocytosis with a left shift should help differentiate this condition from bacterial orbital cellulitis. Orbital myositis may represent a greater proportion of cases of IIPT in childhood than in adulthood, and involvement of multiple extraocular muscles may occur more frequently in children than inadults. In orbital myositis, early diplopia and increased discomfort with attempted eye movement are typical symptoms. CT may show enlargement of one or more extraocular muscles in one or both orbits (Figs. 21 and 22). When a single muscle is involved, the specter of a primary or metastatic neoplasm within the muscle may be raised. However, external inflammatory signs, considerable pain and limited motility, and an explosive onset of symptoms within 24 hours all suggest orbital myositis. The uniform enlargement of the muscle, including its tendinous insertion (see Fig. 22), also helps distinguish the process from a neoplasm, which might be expected to produce a more focal, globular expansion. Echography may support the diagnosis of inflammation by showing edema in the episcleral space as a relative sonolucency between the scleral and orbital fat echoes (Fig. 23). Its CT counterpart is an increase in the radiodensity and thickness of the ocular tunica.
In dacryoadenitis, external inflammatory signs are localized to the superotemporal quadrant, and CT shows enlargement of the lacrimal gland (Fig. 24). Lacrimal gland inflammation may be bacterial, viral, or a variant of IIPT. It is possible, however, that many cases of “idiopathic” dacryoadenitis represent unidentified viral infections. In bacterial dacryoadenitis, a leukocytosis with a left shift may be present.96 In questionable cases, a 1-week course of oral antibiotics can be administered to these patients. Among children, the probability that an enlarged lacrimal gland represents neoplasia rather than inflammation is lower than among adults, although epithelial lacrimal gland tumors occasionally may occur in the pediatric population and can produce external inflammatory signs. If the general signs and symptoms of IIPT are lacking, a biopsy should be performed. Histopathologically, IIPT is characterized by a sparse, mixed inflammatory cell infiltration of the tissues primarily involved (i.e., extraocular muscle, lacrimal gland, Tenon's fascia). The predominant cell is a mature lymphocyte, but there are significant numbers of polymorphonuclear neutrophils, plasma cells, and eosinophils.95 As the inflammatory process evolves, fibrosis becomes a prominent feature. In the variant of IIPT termed sclerosing pseudotumor, collagen deposition is an early finding, and the fibroblast may be the primary mediator of the inflammatory process rather than the lymphocyte.97,98 If the histopathologic findings include true vasculitis (i.e., destruction of vessel wall intima and muscularis) or granulomatous inflammation (i.e., epithelioid and giant cells), Wegener's granulomatosis and other systemic diseases should be excluded. By definition, if a systemic process is confirmed, the IIPT designation no longer applies. If the microscopic picture is dominated by a highly cellular population of uniform lymphocytes, the spectrum of reactive and neoplastic lymphoid lesions should be suspected rather than IIPT. IIPT usually shows a dramatic response to high doses of oral corticosteroids. Clinical improvement occurs within several days, but treatment should be tapered slowly to prevent recrudescence of the inflammation. A pediatrician should collaborate in the treatment of young children with corticosteroids because of the risks of growth retardation and other complications. Although the etiology remains unknown, this exquisite treatment response adds credence to an immunologic basis. Patients tend to follow one of three long-term clinical patterns: single unilateral episodes; recurrent unilateral episodes; or recurrent bilateral episodes, usually alternating from one orbit to the other.94 Among children with IIPT, bilateral involvement and an anterior uveal component prognosticate a more severe course in terms of multiple recurrences and permanent vision loss. Sclerosing pseudotumor, which may involve a distinctly different pathogenesis, generally carries a poorer prognosis with a higher likelihood of cicatricial entrapment of orbital structures.97 Early aggressive treatment with corticosteroids is indicated.Surgical debulking may be necessary, and immunosuppressive agents may be needed in refractory cases. ORBITAL CELLULITIS Orbital cellulitis and its variants are the most common causes of rapidly progressive proptosis in childhood. The term orbital cellulitis often is applied broadly to an anatomic spectrum of bacterial infection, including preseptal cellulitis, diffuse orbital cellulitis, subperiosteal abscess (SPA), intraorbital abscess and, in rare complicated or neglected cases, cavernous sinus thrombosis. In children, possible etiologies include penetrating trauma, extension of local periocular infection (e.g., impetigo or dacryocystitis), and hematogenous seeding from a distant site (e.g., otitis media).99 However, orbital cellulitis most often results from bacterial infection of the paranasal sinuses, which share insubstantial bony walls and an extensive valveless venous system with the orbits.59,100 The clinical profile includes eyelid edema and erythema. If there is true orbital involvement, there may be proptosis, chemosis, and diminished motility. Diagnosis is aided by a history of antecedent respiratory tract infection and signs of systemic toxicity, including fever and leukocytosis. The CT findings of sinus opacification and an orbital abnormality suggest the diagnosis. However, rhabdomyosarcomas and neuroblastomas may affect the orbits and sinuses simultaneously. In these cases, destructive bone change might be expected. The initial recognition of orbital infection generally is not problematic. However, appropriate management requires other early determinations, including proper staging and risk assessment. If CT scans show only preseptal or orbital cellulitis, the prompt administration of appropriate intravenous antibiotics to these well-perfused tissues should be curative. If, however, infection is sequestered in the relatively avascular subperiosteal space (Fig. 25), concerns are raised about achieving therapeutic drug levels.59 An SPA also may have visual implications. The rapid accumulation and extension of purulent material within this potential space can increase orbital pressure, compromising optic nerve or retinal perfusion. There also are well-documented age-related variations in both the bacteriology and clinical response of the SPA/sinusitis complex.101,102 Children younger than 9 years of age are more likely to improve without surgical drainage of the sinuses or orbit, to have negative cultures if drained, or to have cultures positive for single aer-obes if drained within the first 3 days of treatment. Patients 15 years of age or older are more likely to have refractory infections, with positive cultures after more than 3 days of antibiotics usually effective in vitro, and to harbor multiple pathogens, including mixed aerobes and anaerobes. The 9- to 14-year-old age group shows a transition from simple to complex infections. Management includes otolaryngology consultation: nasal decongestion promotes nonsurgical sinus drainage; if surgery is needed, the orbit and sinuses should be drained simultaneously. Antibiotics are given intravenously. At present, appropriate choices include ampicillin/sulbactam for all age groups or a third-generation cephalosporin for children younger than 9 years of age, with the addition of clindamycin for patients 9 years of age or older. Because the inventory of available drugs is continually changing, consultation with infectious disease specialists may be appropriate. Surgical drainage of an SPA and the responsible sinuses is performed as soon as possible if optic nerve or retinal function is impaired by the mass effect (any age). Surgical drainage within 24 hours of presentation is recommended for large SPAs causing pain, for those along the superior or inferior orbital walls, for patients with frontal sinusitis, and in cases in which anaerobic pathogens are suspected (e.g., infections of known dental origin, chronic sinusitis, patients 9 years of age or older). In the absence of these surgical criteria, expectant observation, with inpatient antibiotic administration, is elected for children younger than 9 years of age with small- to moderate-sized medial SPAs.101,102 This approach requirescareful monitoring, and conservatively treated patients still default to surgery if a prompt clinical response is not noted. This judgment should not be made on the basis of serial CT scans alone, since SPAs may enlarge during the first few days of antibiotic therapy that ultimately proves effective.101,103 Garcia and Harris104 prospectively applied this protocol to a cohort of 37 patients younger than 9 years of age. Eight children met criteria for surgical treatment and underwent prompt drainage. Of the 29 patients for whom initial nonsurgical treatment was recommended, 27 (93%) recovered with antibiotics alone, and two defaulted to surgery. All patients had successful clinical outcomes. |
| NARROWING THE DIFFERENTIAL DIAGNOSIS |
| Because lesions of diverse etiology and pathogenesis can present with a
similar clinical picture, diagnostic and therapeutic algorithms would
be simplistic and misleading in this setting. A workable differential
diagnosis is achieved by integrating the many clinical and imaging features
by which the diverse causes of pediatric proptosis may be divided
and grouped. Tables 4 to 7 are examples of such groupings, each based on one of many possible parameters.
![]()
![]()
![]()
![]()
|